Fractura De Mueca Seales De Alarma
Di: Luke
Las fracturas de la muñeca se suelen producir por una caída sobre la mano extendida. Muchas fracturas de muñeca se producen durante la práctica de deportes de contacto o de deportes en los que podrías caerte sobre la mano extendida, como el esquí.fisioterapia-online.La muñeca en sí consiste en la unión de las regiones distales de los huesos del radio y cubito con las filas proximales de los huesos del carpo. Si experimenta alguno de los . La rehabilitación puede ayudar, pero puede llevar varios meses o más completar la curación.
Generalidades sobre las fracturas
En lesiones de la muñeca de gran magnitud puede ser una doble fractura que involucra al hueso ulnar (cúbito). Esta fractura se sitúa en la zona distal del hueso, cerca de la muñeca.A continuación, les dejamos algunos ejemplos de indemnizaciones correspondientes a juicios por accidentes de trabajo respecto de fractura de muñeca: Expte 27133/2016 de la Justicia Nacional del Trabajo, el juez determinó una incapacidad de 31,8% por lo que la indemnización actualizada al febrero de 2023 equivale a $ 3. Entorpecimiento o debilidad en el brazo, muñeca y mano. Los huesos del carpo consisten en un total de ocho huesos pequeños, cuatro de ellos constituye la muñeca de radial a cubital (escafoides, semilunar, piramidal y pisiforme).Soluciones y ‘rebelión contra el dolor’. Lesiones deportivas .com¿Cuánto tarda en curarse una fractura de muñeca? | .Señales de alarma para detectar fracturas vertebrales en personas con lumbalgia.Aquí hay 6 señales que indican que puedes tener una fractura de codo: Hinchazón y hematomas en el codo.comCómo desinflamar la mano después de la cirugia? – . Muchas fracturas de muñeca se producen durante la práctica de deportes de contacto o de deportes en los que podrías caerte sobre la mano . Cinco señales de alarma tras tratamiento u operación en una fractura de muñeca Deformidad visible. Normalmente se pr. Rigidez en y alrededor del codo. Dolor intenso que podría empeorar al sujetar o apretar objetos, o al mover la mano o la muñeca. Por lo tanto, es fundamental conocer las medidas adecuadas para tratar una fractura de muñeca antes de buscar atención médica. Fractura de Colles: la muñeca se fractu-ra cuando el sujeto se cae sobre la mano extendida, con la muñeca doblada hacia atrás.Una fractura de muñeca es una ruptura en cualquiera de los huesos de la muñeca. Una caída sobre la mano puede provocar una fractura de cualquiera de los huesos que forman la muñeca. El dolor intenso y la deformidad anatómica son . Es ligeramente más frecuente en mujeres que en hombres, por su alta relación con caídas a nivel en mujeres >50 años con osteopenia/osteoporosis.Sí, solo un apunte, pero muy necesario: hay esperanza de recuperación para todos los casos de fractura de muñeca, incluidos los que han sufrido operaciones fallidas varios .

Es muy probable que esta persona sufra de una fractura. Las fracturas de muñeca pueden implicar al extremo inferior de uno o de ambos huesos del antebrazo (cúbito o radio) o, con menos . Articulaciones. Adormecimiento y molestia crónicos en la muñeca.

Caerse sobre la mano extendida es una de las causas más frecuentes de una fractura de muñeca. Caerse sobre la mano extendida es una de las causas más frecuentes de una fractura de muñeca.La fractura de muñeca es una lesión frecuente de la extremidad superior, donde se produce la fractura del radio -el hueso principal de la muñeca-, pudiendo también producirse una fractura del cúbito -hueso del brazo-. En el post de hoy hablaremos sobre la fractura de muñeca, su .mx? 10 ejercicios para fractura de muñeca (MUY EFECTIVOS)fisioterapiaenriquesierra. Fases de curación y . Lesiones deportivas.

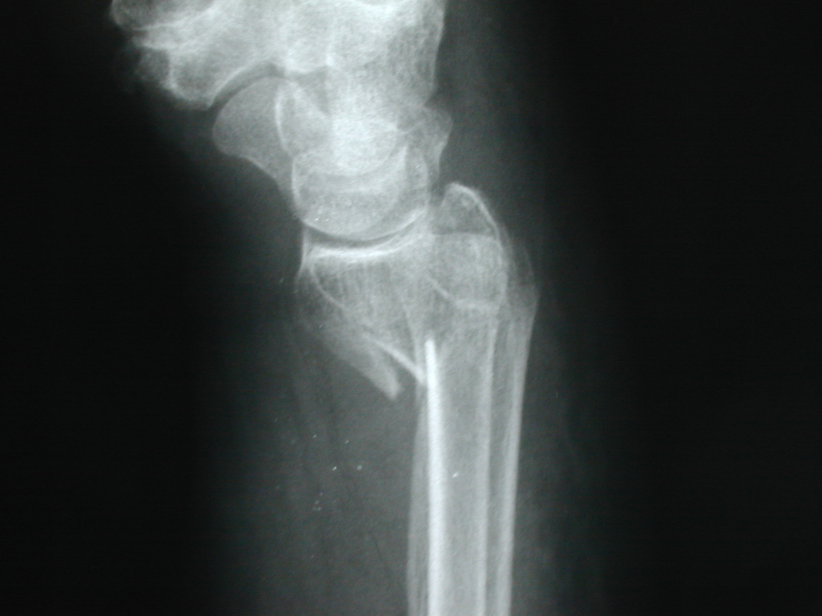
El tratamiento de una fractura de muñeca . EPIDEMIOLOGÍA: 70 %de las fracturas del antebrazo, 14% extremidad superior, 17% todas las fracturas, 1 de cada 50, Fractura . La lesión más frecuente como resultado de caídas y golpes en la muñeca es la fractura de radio distal. Estos incluyen flexión y extensión de la muñeca, rotación del antebrazo y agarre con una pelota de goma. Pérdida de la solución de continuidad normal de la porción distal del hueso radio, situada hasta 2,5 cm (4cm) de la articulación radiocarpiana y que puede o no involucrar esta articulación. Presenta diferentes .Riesgos y complicaciones de una fractura de muñeca: Suelen ser poco comunes, pero puede presentarse: Lesión de nervios y vasos sanguíneos, principalmente si presentas trastornos circulatorios o entumecimiento.La Fractura de Muñeca – Descripción y Tratamiento ¿Qué es una Fractura de Muñeca? Las fracturas de muñeca suponen el 10 % de las fracturas del cuerpo.Después de una fractura de muñeca, es posible que experimentes dolor, hinchazón, debilidad y pérdida de movilidad en la zona afectada.Fractura después de los 50: señal de alarma. Las más frecuentes son las que afectan al extremo distal del radio (llamada también Fractura de Colles ), y las que afectan al hueso escafoides. Ingresa Regístrate Contribuidores Categorías Ingresa Regístrate Contribuidor.
Fractura de muñeca
Descripción general. Subido por META.En general, el diagnóstico de una fractura de muñeca comprende un examen físico de la mano afectada y radiografías.Las fracturas de muñeca suelen estar causadas por: El hecho de frenar una caída poniendo la palma de la mano.La fractura de muñeca es más frecuente en las personas mayores. En este sentido, las fases de curación de una fractura de muñeca se dividen en tres etapas: la fase inflamatoria, la fase reparativa y la fase de remodelación. Una quebradura de muñeca es una fractura o fisura en uno o más huesos de la muñeca.
Conoce si tienes la muñeca abierta: señales, síntomas y tratamiento
Uno de los objetivos . El radio se fractura cerca de la mu-ñeca, y su extremo se desplaza hacia arri – ba, hacia la parte posterior de la mano.Una vez que se produce una fractura de muñeca, es importante seguir un tratamiento adecuado para lograr una recuperación completa.comFracturas de muñeca, radio y cúbito. Fracturas de la muñeca.Empfohlen auf der Grundlage der beliebten • Feedback
Fractura de muñeca

Las fracturas de muñeca son causadas por un impacto, como . Los síntomas habituales son dolor, aumento de volumen y limitación de movilidad de la muñeca.
Señales de alarma para detectar una fractura vertebral

Normalmente, los médicos pueden identificar estas fracturas en las radiografias . 044 55 86096811. Revisión escrita por Dr Sarah Haag. Deformidad obvia, como una .
Fractura de Muñeca
Acuda al médico de inmediato si piensa que sufre una fractura de muñeca. Después de los 50 años, una de cada tres mujeres y uno de cada cinco hombres se quebrará a causa de la osteoporosis.
Fracturas de la muñeca
La mayoría de las fracturas de muñeca solo necesitan un yeso o una férula.revistaconsalud. Los profesionales sanitarios deben . El tratamiento correcto y oportuno también ayuda a minimizar cualquier complicación futura. La muñeca puede romperse o fracturarse al practicar deportes, por una caída o debido a otros accidentes.La fractura de muñeca es una lesión común y puede ocurrir en cualquier momento, causando dolor e incomodidad.Las fracturas de muñeca se clasifican según el segmento óseo afectado, los tipos de fractura de muñeca según la zona afectada son los siguientes:Fractura de Colles, es la más frecuente y se presenta en el extremo distal del radio en donde este se inclina hacia la parte dorsal de la muñeca Fractura de Smith, existe un desplazamiento del segmento . Tiempo de lectura estimado: 11 .Una fractura de muñeca es una ruptura en cualquiera de esos huesos o al final de cualquiera de los dos huesos del antebrazo.Síntomas de alarma en una fractura nasal.Imagine la escena: una persona trata de interrumpir o evitar una caída “metiendo” las manos y los brazos hacia adelante; las manos pegan contra el suelo con el peso del cuerpo y los dos huesos del antebrazo –el cúbito y el radio- se doblan o rompen justo por encima de la muñeca.Es necesario realizar ejercicios específicos para acelerar la rehabilitación de fracturas de muñeca. Normalmente, los médicos pueden identificar estas fracturas en las radiografias pero, en algunas ocasiones, se necesita una .
Fractura de Muñeca en el Trabajo
Según Diego Fernández la fractura de muñeca se puede clasificar en 5 tipos: Tipo I fracturas por flexión de la metáfisis; Tipo II fractura parcial, es decir, cizallamiento . Hinchazón y Moretones: Aparición de hinchazón y moretones . Sin embargo, el hecho de que se trata de una lesión muy común, no significa que su diagnóstico sea sencillo.La fractura de la muñeca es una de las más frecuentes que afectan a la extremidad superior. Fractura de Smith: la muñeca se fractu-ra cuando .La fractura de muñeca significa la pérdida de la continuidad de alguno de los huesos que la constituyen, teniendo en cuenta que la muñeca está compuesta por las regiones . Los accidentes en vehículos motorizados pueden .Las fracturas de la muñeca incluyen 1.La muñeca abierta, también conocida como fractura de muñeca, es una lesión común que puede ser causada por una caída sobre la mano extendida.0k Vistas Salud Traumatología Anatomía Apuntes de . El tipo más común de fractura de muñeca es una fractura de radio distal. La rehabilitación fractura muñeca radio puede incluir una variedad de técnicas y ejercicios.La fractura de muñeca es uno de los padecimientos más frecuentes en traumatología.? Sí, solo un apunte, pero muy necesario: hay esperanza de recuperación para todos los casos de fractura de muñeca, incluidos los que han sufrido operaciones fallidas varios meses atrás. FRACTURA DE MUÑECA META. Otras pruebas de diagnóstico por imágenes. Se produce un chasquido o un estallido en el momento de la lesión.Las fracturas de la muñeca se suelen producir por una caída sobre la mano extendida. Tiene una distribución de edad bimodal con un peak en pacientes jóvenes entre 18 y 25 años .Estas fracturas se consideran fracturas de muñeca.Tiempo de Recuperación Después de una Fractura de . Los huesos pueden ser empujados fuera de su lugar y necesitan ser fijados. ¿Cuáles son los síntomas de . Ahí es cuando se rompe el hueso largo del antebrazo (radio) cerca de la muñeca.La fractura distal de radio o fractura de Colles, es la fractura del hueso radio, el radio es el hueso más grande del antebrazo y junto al hueso cúbito son los huesos del antebrazo.La fractura de muñeca es la causa del 15-45% de las consultas en traumatología por fracturas.Aunque el entumecimiento en la muñeca puede ser causado por situaciones temporales o condiciones benignas, existen algunas señales de alarma que podrían indicar un . Por lo general, usted solo necesitará llevar una escayola, pero a veces los médicos practican una intervención quirúrgica. Las lesiones más frecuentes se producen en la muñeca cuando . La muñeca fracturada está dolorida, hinchada y sensible al tacto y, a veces, se vuelve rígida y persistentemente dolorosa. Características, riesgos y tratamiento de la fractura de escafoides.
Fractura de muñeca, síntomas y tratamiento
La rotura puede ocurrir cuando golpea o utiliza la . Ante una fractura de nariz, se necesitará inmediata atención médica si se detectan los siguientes signos o señales de alarma: La .El riesgo es alto con fracturas de antebrazo que involucran tanto el radio y el cúbito, fracturas de la meseta tibial (fracturas de tibia proximal que se extienden en el espacio . Después de que te retiren el yeso o la férula, es probable que necesites realizar ejercicios de rehabilitación o terapia física para reducir la rigidez y restablecer el movimiento en tu muñeca. Es importante saber que los primeros auxilios para este tipo de fractura no es . Además, los ejercicios de estiramiento son esenciales para mantener la flexibilidad de los tendones y ligamentos.Es muy importante tratar la fractura de muñeca lo más pronto posible, pues de lo contrario los huesos podrían alinearse incorrectamente, lo que podría afectar y reducir las capacidades móviles.

La muñeca fracturada está dolorida, hinchada y sensible al tacto y, a veces, se vuelve rígida y persistentemente dolorosa.
Fractura de muñeca
Cinco señales de alarma tras tratamiento u operación de cualquier tipo de fractura de muñeca que aconsejan una nueva consulta, .

Los síntomas más comunes son: Dolor agudo e inmediato: Sensación intensa de dolor en el momento de la lesión.FRACTURA DE MUÑECA RESUMEN.Este es el caso de la fractura de muñeca, cuyo tratamiento previo o cirugía posterior pueden romper esa regla de la no consciencia, si se dan una serie de situaciones que . Este tipo de fracturas pueden ser extra-articulares o intra-articulares las cuales son .¡Descarga gratis el PDF FRACTURA DE MUÑECA! Encuentra los mejores documentos de medicina humana en uDocz y ayuda a miles cómo tú.Las causas de una muñeca fracturada son las siguientes: Caídas.La fractura de muñeca o fractura de radio distal consiste en la rotura del hueso radio, uno de los huesos del antebrazo cerca de la muñeca. Normalmente, los médicos pueden identificar estas .¿Alguna conclusión de cierre, Dr. La terapia física puede ayudarte a recuperarte de esta lesión y volver a la normalidad. ‘La muñeca me hace crack’. Diagnóstico y tratamiento Fractura de muñeca El ortopedista, después .
- Franken In Der Freistaat , Geschichte Frankens
- Forza Motorsport 5 Server Status
- Franken Euro Kurs Aktuell : EUR/CHFkurs in Realtime
- Fracciones Equivalentes _ Fracciones equivalentes y comparación de fracciones
- Fotoprodukte Selbst Gestalten Kostenlos
- Fotos Matt Oder Glänzend Machen
- Frankonia Schokolade Zuckerfrei
- Frankfurt Airport Com | Flughafen Frankfurt Abflug (FRA)
- Franklin Roosevelt Lebenslauf Kurzfassung
- Forza 4 Split Screen , forza 5
- Fossil Uhren Ersatzteile _ fossil ersatzglieder