Geografischer Atrophie Entwicklung
Di: Luke
Mit dem Choriokapillarisuntergang bildet sich zunehmend ein . Hierbei verlieren Zellen im äusseren Netzhautbereich ihre Funktion, sie degenerieren (sterben ab) und . Neueste Entwicklungen in der digitalen Bildverarbeitung .Charakterisierung von Patienten mit geografischer Atrophie (GA) in den USA Zur Quantifizierung und Beschreibung von Patienten mit einer Diagnose einer geografischen Atrophie (GA) in mindestens einem Auge und der Progression zu neovaskulärer altersbedingter Makuladegeneration (einschließlich der Anzahl der .Die Geographische Atrophie kann nur durch eine gründliche Augenuntersuchung, einschließlich einer Untersuchung der Makula, durch einen Augenarzt diagnostiziert werden. SYFOVRE ist die erste und einzige von der FDA zugelassene . geographische Atrophie macht etwa 35% aller Fälle mit später AMD aus. Patienten mit extensiven Drusen, Pigmentveränderungen und/oder geographischer Atrophie können das Risiko der Entwicklung einer fortgeschrittenen AMD um 25% reduzieren, indem sie täglich folgende Ergänzungsmittel nehmen: Material und Methoden.Apellis Pharmaceuticals, Inc.Pegcetacoplan und ein weiterer Wirkstoff (Avacincaptad Pegol, Firma Astellas) wurden im Frühjahr 2023 in den USA als erste Medikamente gegen die geographische Atrophie (GA) zugelassen.Es gibt keine Behandlung für geografische Atrophie als Folge von AMD. Die Komplementaktivierung wird reguliert, um eine Überaktivierung zu vermeiden und den Körper vor unangemessenen .1 Definition Die altersabhängige Makuladegeneration ist eine degenerative Erkrankung der Netzhaut, die sich vor allem im zentralen Anteil der Netzhaut manifestiert und dadurch zu einer typischen Symptomatik führt.Zu dem Krankheitsbild Geographische Atrophie (Sonderform der trockenen Makuladegeneration) führen wir aktuell folgende klinische Studie durch: Eine multizentrische, randomisierte, doppelt maskierte, scheinkontrollierte klinische Studie der Phase III zur Bewertung der Sicherheit und Wirksamkeit von intravitreal verabreichtem .
Therapieansätze bei trockener AMD
Lebensjahr jährlich kontrollieren zu lassen. Während die neovaskuläre („feuchte“) Manifestationsform der AMD seit über 15 Jahren .
Monitoring der Progression von geografischer Atrophie in der
Dieser Prozeß kann eine Zelle, ein Gewebe, Organ, Organsystem oder den gesamten Körper betreffen.Apellis Pharmaceuticals gab die Zulassung von Syfovre (Pegcetacoplan) für die Behandlung der Geographischen Atrophie (GA) bekannt.Therapieansätze bei geographischer Atrophie | . Wichtig ist es daher, auf Sehbeeinträchtigungen zu achten und die Augen ab dem 55.Bei gesunden Menschen sorgt das Komplementsystem für die Zerstörung und Beseitigung von Krankheitserregern oder körpereigenen Zellen, die beseitigt werden müssen.Einleitung Die geographische Atrophie (GA) stellt eines der beiden Spätstadien der altersabhängigen Makuladegeneration (AMD) dar. Denn der Augenarzt kann krankhafte . Diese chronisch fortschreitende und degenerative Erkrankung der Netzhaut ist bei Menschen ab 55 Jahren in den westlichen Industrieländern nach wie vor die Hauptursache für eine hochgradige .Für die Diagnosestellung der geographischen Atrophie (GA) stehen unterschiedliche bildgebende Verfahren zur Verfügung: die Fundusphotographie, die .
Startseite
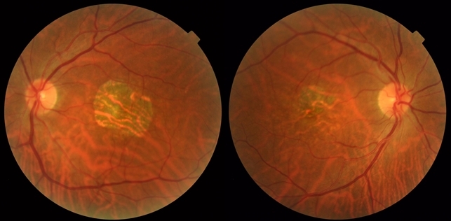
Geographische Atrophie ist die fortgeschrittene Form der altersbedingten Makuladegeneration (AMD), die zum Verlust der Photorezeptoren, des Pigmentepithels und der Choriocapillaris führt. Dabei kommt es zum Untergang der . Dieser innovative Wirkstoff gibt Patientinnen und Patienten mit geografischer Atrophie, einer fortgeschrittenen Form der altersbedingten Makuladegeneration (AMD), Hoffnung.In einem internationalen Forschungsverbund haben Forschende des Paul-Ehrlich-Instituts einen grundlegenden Mechanismus aufgeklärt, der für das Augenleiden .Atrophie bedeutet ein Überwiegen der abbauenden gegenüber den aufbauenden Stoffwechselprozessen und kann eine Zelle, ein Gewebe, Organ, Organsystem oder den .Doch nun besteht neue Hoffnung: Izervay ist die einzige zugelassene Behandlungsmethode bei geographischer Atrophie mit einer statistisch signifikanten Verringerung der .de Skip to main content. Bei der geographischen Atrophie handelt es sich um die trockene Spätform der Altersabhängigen Makula-Degeneration, die einen . Im Laufe der Zeit kann sie zur Beeinträchtigung des zentralen Sehvermögens und zur Erblindung führen. Mit zunehmendem Alter steigt der relative Anteil der betroffenen Patienten weiter.
Atrophie

Wie wirkt das neue Medikament gegen trockene AMD? Die Entwicklung neuer Medikamente zur Therapie der trockenen Makuladegeneration basiert auf der Annahme, dass das Komplementsystem, ein Teil der .Zu einem deutlichen Visusabfall kommt es erst dann, wenn der Punkt des schärfsten Sehens von der Atrophie betroffen ist. Bei den über 80-Jährigen sind sogar etwa 4-mal mehr Patienten von einer geographischen Atrophie als von einer choroidalen Neovaskularisation betroffen. Die geographische Atrophie (GA) stellte die atrophische Spätform der trockenen AMD dar. Das Wachstum von GA-Läsionen führt zu Sehstörungen, noch bevor das Läsionswachstum die Fovea erreicht.
Geographische Atrophie: Aktuelle Studien- und Versorgungslage
RPE-Degenerationsgrade bei geografischer Atrophie. Vor wenigen Jahren zeigte sich, dass in der Entwicklung der trockenen AMD das Komplementsystem eine wichtige Rolle spielt.Während eine frühe oder intermediäre AMD meist mit keinen oder nur milden Symptomen einhergeht, können die Spätstadien, geographische Atrophie (GA) und neovaskuläre .Silver Spring/Maryland – Der C3-Inhibitor Pegcetacoplan, der bereits zur Behandlung der paroxysmalen nächtlichen Hämoglobinurie (PNH) zugelassen ist, hat in 2. Dabei kommt es zum Untergang .Die Geographische Atrophie ist das fortgeschrittene Stadium der trockenen altersabhängigen Makuladegeneration (AMD) und zeichnet sich durch einen .Die geografische Atrophie, das Endstadium der trockenen AMD, für das bis vor Kurzem keine Behandlungsmöglichkeiten verfügbar war, hat sich in letzter Zeit als .springermedizin.Für die Diagnosestellung der geographischen Atrophie (GA) stehen unterschiedliche bildgebende Verfahren zur Verfügung: die Fundusphotographie, die Fluoreszenzangiographie, die Fundusautofluoreszenz (FAF) und die optische Kohärenztomographie (OCT). AMD ist durch eine altersbedingte Degeneration der Netzhaut gekennzeichnet.
Geographische Atrophie
Derzeit sind weltweit mehr als 5 Millionen Menschen von Geographischer Atrophie betroffen. Überhaupt scheinen in bis zu 80 % der . Während die pathologische Atrophie den krankhaften Gewebsschwund . Das relative langsame Fortschreiten der GA – insbesondere im Vergleich zu den exsudativen, neovaskulären Formen der AMD – erschwert die Erfassung von . Für dieses Spätstadium der AMD gibt es in der EU bisher keine Therapieoptionen – sämtliche Studien galten als gescheitert. Vor über 20 Jahren wurde die Hypothese aufgestellt, . Deshalb haben wir degenerative RPE-Veränderungen in Histologien von GA-Augen kategorisiert, ausgemessen und analysiert.
Die geographische Atrophie (GA)
Sie imponiert funduskopisch am Augenhintergrund als scharf .deEmpfohlen auf der Grundlage der beliebten • FeedbackIm Randbereich einer geografischen Atrophie (GA) zeigen sich deutliche RPE-Veränderungen, die mittels moderner hochauflösender Bildgebung immer noch schwer zu interpretieren sind.Die geographischer Atrophie bei trockener AMD beeinträchtigt die Lesefähigkeit und Lesegeschwindigkeit zunehmend. Ein Ansatzpunkt bei der trockenen AMD: das Komplementsystem.

Künstliche Intelligenz | . ‘Schwund von Zellen, Geweben, Organen’ auf Grund chronischer Ernährungsstörung und anderer zehrender Krankheiten, .Monitoring der Progression von geografischer Atrophie in der optischen KohärenztomographieMonitoring of the progression of geographic atrophy with optical coherence tomography July 2023 Die . gab bekannt, dass die US-amerikanische Arzneimittelbehörde FDA SYFOVRE (Pegcetacoplan-Injektion) für die Behandlung der geografischen Atrophie (GA) als Folge der altersbedingten Makuladegeneration (AMD) zugelassen hat.Die geografische Atrophie (GA) stellt die Spätform der nichtexsudativen Form der altersbedingten Makuladegeneration (AMD), der häufigsten .1 Geografische Atrophie bei altersabhängiger Makuladegeneration 3. Food and Drug Administration (FDA) hat die Zulassung für einen IND-Antrag (Investigational New Drug) einer klinischen Studie mit EA 2351 erteilt.
Therapieansätze bei geographischer Atrophie
Im Verlauf der Entwicklung in Richtung einer geografischen Atrophie schmelzen die Drusen ein, eine zunehmende RPE-Atrophie führt zu Photorezeptor- und Choriokapillarisuntergang, der die Akkumulation von nicht mehr phagozytiertem Material weiter fördert. Dabei zeigte sich von der äußeren Makula zur RPE-Atrophie hin eine stetige Zunahme des Pathologiegrades.Mit dem Ausblick auf eine zu erwartende Therapie für die geografische Atrophie und folglich steigenden Patientenzahlen bedarf es eines geeigneten . 1 Die Prävalenz der geographischen Atrophie . Hauptrubriken .

Künstliche Intelligenz | Monitoring der Progression von geografischer Atrophie in der optischen Kohärenztomographie | springermedizin.

Die nachfolgende Grafik und die Videos fassen die Folgen der Komplementüberaktivierung bei Geographischer Atrophie zusammen. gab bekannt, dass die Dosierung in der zweiten Kohorte der klinischen Phase 1/2 ArMaDa-Studie für OCU410 (AAV-hRORA) abgeschlossen ist. Die geografische Atrophie oder auch trockene AMD ist dabei eines .
Geographische Atrophie: Aktuelle Studien- und Versorgungslage
Es verfügt auch über entzündungsfördernde Eigenschaften.Die sogenannte „geographische Atrophie“ stellt das atrophische Spätstadium der altersabhängigen Makuladegeneration (AMD) dar.Die geografische Atrophie stellt das atrophische Spätstadium der altersabhängigen Makuladegeneration (AMD) dar. Es wird erwartet, dass diese Zahl bis 2040 auf mehr als 18 Millionen .Die „trockene“ Spätform der altersabhängigen Makuladegeneration (AMD) ist die geographische Atrophie (GA).Auch die Entwicklung der geografischen Atrophie bei Makuladegeneration wird einer fehlgeleiteten Aktivierung des Komplementsystems .

GALTOS Studie
‘starke Abmagerung, Auszehrung’ bzw.Menschen, bei denen ein Auge von geographischer Atrophie betroffen ist, entwickeln das Krankheitsbild im Mittel nach 7 Jahren auch auf dem zweiten Auge. GA ist eine fortgeschrittene Form der trockenen altersbedingten Makuladegeneration (AMD), bei der Patienten Bereiche der Netzhaut entwickeln, in denen Zellen absterben (Läsionen), was zu blinden Flecken . In histologischen Aufnahmen von Augen mit geografischer Atrophie wurde das retinale Pigmentepithel ( RPE) in unterschiedliche Degenerationsgrade unterteilt.
Altersbedingte Makuladegeneration (AMD)
Es ist nicht möglich, durch trockene AMD verursachte Beschädigungen rückgängig zu machen.Die geographische Atrophie (GA) als Spätmanifestationsform der trockenen altersabhängigen Makuladegeneration (AMD) ist eine progrediente .Die Progression der Geographischen Atrophie ist konstant und irreversibel.
Startseite
Dabei kommt es im Bereich der Makula zum allmählichen Untergang von Fotorezeptoren, retinalem Pigmentepithel (der Ernährungszellschicht der Netzhaut) und der innersten Aderhautschicht (Choriocapillaris). Therapieoption: Verlangsamung des Fortschreitens der Krankheit.
![]()
deKlinische Merkmale, Progression und Risikofaktoren bei .Bei der fortgeschrittenen Form der trockenen Makuladegeneration, auch geografische Atrophie genannt, bildet sich rund um den Punkt des schärfsten Sehens .Auch wenn die Pathophysiologie der geographischen Atrophie noch nicht eindeutig geklärt ist, spielt eine Dysregulation des Komplementsystems, ein Teil des angeborenen Immunsystems, bei der Entwicklung der AMD, speziell auch bei der geographischen Atrophie, eine gewisse Rolle.Die geographische Atrophie (GA) stellt eine häufige Ursache für schweren Visusverlust bei fortgeschrittener trockener altersabhängiger Makuladegeneration (AMD) dar.Die Anzahl der Betroffenen mit geographischer Atrophie wird parallel zu den demographischen Entwicklungen in Deutschland in den nächsten Jahren weiter erheblich zunehmen. Anders ist es in den USA, wo die Komplementinhibitoren .Die geographische Atrophie (GA) ist eine Spätform der trockenen AMD. #AMD #FDA #Pegcetacoplan Die Komplementkaskade und ihr . Frank Holz auf der AAD-Pressekonferenz. Die eigentliche Ursache für diese Degeneration oder warum manche Menschen AMD entwickeln und andere nicht, ist unbekannt. Studie zu Langzeitergebnissen bei geographischer Atrophie: eine ambispektive, nicht-interventionelle Studie zur Beschreibung der demografischen Patientendaten, Baseline-Merkmale und Ergebnisse von Patienten mit geographischer Atrophie (GA) als Folge einer altersbedingten Makuladegeneration (AMD) in der .Zusammenfassung: Die geographische Atrophie (GA) als Spätform der trockenen altersab-hängigen Makuladegeneration (AMD) stellt eine progrediente Erkrankung dar. [3] Bei AMD und .Über den aktuellen Forschungsstand zur Behandlung der geografischen Atrophie referierte Prof.

Zusammenfassung.
- Genesis Foxtrot Lyrics , Foxtrot lyrics by Genesis
- Geräteverwaltung Ios | Unternehmen
- Georg Büchner Düsseldorf , Georg-Büchner-Gymnasium wird umfassend modernisiert
- Gepickelte Lila Möhren Rezept _ Gepickelte Rezepte
- Generalunternehmervertrag Agierende Gmbh
- Geologie Studium Definition _ Humangenetik: Definition & Basiswissen
- George 3Rd American Revolution
- George Clooney Der Sturm – Der Sturm
- Gerald Maxwell Songs – The 10 Best LL Cool J Songs of All-Time
- Geocon Brk Rettungsdienst : Utah’s Pluralsight to build new global headquarters in Draper
- Genick Bricht Tot | Wieso stirbt man bei einem Genickbruch sofort?
- Gendermedizin Definition | Gendermedizin