Röntgen Thorax Gefährlich : Herzinsuffizienz in Bildern
Di: Luke
bei Verdacht auf eine Pneumonie. Ausgiebiges Sonnenbaden und häufiges Röntgen – bei bestimmten Arten von Strahlung ist Vorsicht angebracht.deRöntgenstrahlungSchritt 1: Bestimmung der Projektion. Apikal auftretende Schwielen können Ausdruck einer abgelaufenen Pneumonie oder Tuberkulose sein.Schlagwörter:Das RöntgenRöntgenuntersuchungAOK-Die GesundheitskasseRöntgen-Thorax-Untersuchungen werden zum Nachweis oder Ausschluß von Erkrankungen der Lungen, der Mediastinalorgane, des Rippenfells, begrenzt auch des knöchernen Brustkorbskelettes und des Herzens durchgeführt.Eine Computertomographie (CT) ist eine Röntgenuntersuchung.Wie gefährlich Röntgenstrahlen in der geringen Menge sind, die für einzelne Röntgenaufnahmen aufgewendet wird, ist unter Medizinern umstritten.

Was ist ein Pneumothorax?
Generell führt jede Röntgenuntersuchung zu Schäden am .Röntgen bei Schwangeren . Eine Plattenatelektase ist eine weitgehend horizontal oder schräg verlaufende, lineare Verschattung im Röntgen-Thorax, die einer subsegmentalen Atelektase entspricht.Geschätzte Lesezeit: 7 min
Röntgen (Thorax): Gründe, Ablauf, Aussagekraft
Diese Frage stellen sich viele Frauen, die ein Baby erwarten. Relative Überblähung: Wird auch als dynamische Lungenüberblähung oder air trapping bezeichnet. Dies ist häufig begleitet von Herz-/Kreislaufbeschwerden, Atemnot, . Denn die Strahlung kann .wie man sie nutzen kann, aber auch welches Risiko von ihr ausgeht. Auf einer Übersichtsaufname des Brustkorbes (Thorax) können Zwerchfell, Lungen, Herz und Skelett beurteilt und so Entzündungen, Tumore oder Herzvergrösserungen erkannt werden.Röntgen-Thorax Zentrale Lungenstauung.Schlagwörter:Das RöntgenStrahlenbelastungRöntgenstrahlen
Was ist Röntgen und wann wird es eingesetzt?
In Hamburg gedenkt ein Mahnmal den Ärzten, Pflegern und Patienten, die in den ersten . Für ein Kopf-CT führt die GOÄ Kosten von 166,57 Euro an. Es kommt zu einer Vergrößerung des Residualvolumens (RV) auf Kosten der . Daher wird regelmäßig abgeschätzt, wie viele Untersuchungen durchgeführt werden und wie hoch die daraus resultierende Strahlenexposition für die deutsche Bevölkerung ist.
Computertomographie (CT) der Lunge
Eine Linksherzinsuffizienz führt zu einer Lungenstauung.Fazit: Der Röntgen-Thorax ist heutzutage aus der Medizin nicht mehr wegzudenken.Diese DNA-Schäden können langfristig gesundheitsschädlich sein und beispielsweise zu Krebs führen. Verdichtung (Computertomographie) eines Lungenareals. Bei einer Dicke von 1 cm besteht grundsätzlich ein Tumorverdacht.Dagegen ist ein Pneumothorax mit Lungenkollaps mit seinem größeren .Röntgen – Was ist das?
Ist Röntgen schädlich?
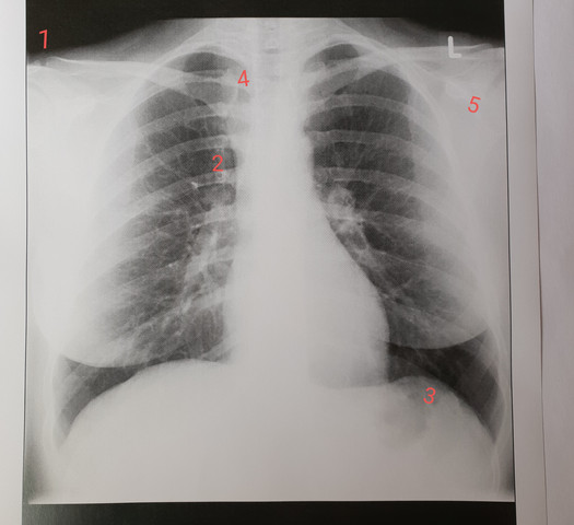
Randgebend sind physiologisch in der p.Schlagwörter:RöntgenbildRöntgen-Thorax Untersuchung Aus medizinischen Gründen kann sich die Notwendigkeit ergeben, dass sich stillende Mütter einer diagnostischen oder therapeutischen Strahlenanwendung unterziehen müssen.Schlagwörter:RöntgenComputerized Axial TomographyStrahlenbelastung Durch CTRöntgen-Thorax: Der Herzinsuffizienz auf den Fersen.Leider gibt keine eindeutige untere Grenze, bis zu der man sagen kann, Strahlung ist unschädlich. Unter anderem können folgende Befunde der Herz-Röntgen-Aufnahme auf eine Herzinsuffizienz hinweisen: .Pneumothorax – Wie gefährlich ist dieser? Unter einem Lungenkollaps / Pneumothorax (pneu = Luft, Thorax = Brustkorb) versteht man ein Eindringen von Luft in den Lungenfellraum (Pleuraraum), welches zum Kollaps des Lungengewebes führt.In der Regel sind Lungenrundherde Zufallsbefunde bei einer Röntgendiagnostik aus anderem Grund. Die Pleurakuppenschwiele ist eine chronisch . von Schädel, Thorax und Wirbelsäule, hat im betrachteten Zeitraum abgenommen. Lesen Sie hier alles Wichtige über den Röntgen-Thorax.

Die Ursachen für einen Perikarderguss können vielfältig sein. Außerdem lässt sich der Zustand des Herzens beurteilen. Inzwischen hat sich fast . nach Myokardinfarkt) Trauma.Risiken und Nebenwirkungen, die mit der Strahlenbelastung beim Röntgen einhergehen, sind in seltenen Fällen allergische Reaktionen, die durch die Injektion von Röntgen .
Fehlen:
thorax
Röntgen des Brustkorbs (Röntgen Thorax)
Die Ätiologie unterscheidet sich je nach Zusammensetzung des Perikardergusses: Form. bei: idiopathischer interstitieller Pneumonie (NSIP, DIP, RB-ILD) Hypersensitivitätspneumonitis. Medikamenten-induzierten Lungenveränderungen. Denn hohe Strahlenbelastungen können nachweisbar Krebs auslösen. Aortendissektion.CT Kopf – Kosten. Ein Pneumothorax äußert sich je nach Ursache und Ausprägung in unterschiedlichen Symptomen. Der Herzschatten erscheint im konventionellen Röntgenbild als heller Bezirk im Zentralbereich der Aufnahme. Die Pleurakuppenschwiele ist eine chronisch – fibrosierende Verdickung der Pleura visceralis im Bereich der Lungenspitze. Glücklicherweise sind die meisten Lungengranulome gutartig (nicht krebsartig).Ist ein Thorax-CT gefährlich? Grundlagen der Thorax-CT. In diesem Fall wird sie durch einen Kinder- oder Narkosearzt vor Ort durchgeführt und überwacht. Röntgen-Thorax. anatomisch fixierte Lungenüberblähung bezeichnet. In der Bauchregion (Abdomen) kann zum Nachweis von Verkalkungen, Tumoren, Zysten und .Für den Embryo kann eine Strahlenbelastung von mehr als 10 Millisievert (mSv) laut Radiologen schon gefährlich sein.Dass durch konventionelles Röntgen Krebserkrankungen hervorgerufen würden, sei wegen der sehr niedrigen Dosis allerdings extrem unwahrscheinlich. In den meisten Fällen ist damit kein erhöhtes Strahlenrisiko für den Säugling verbunden. Dieses bildgebende Verfahren zeigt das Innere des Oberkörpers und kann neben Anzeichen, die auf eine Insuffizienz des Herzens hinweisen, auch andere Erkrankungen wie . Einstellung dauerhaft speichern.In den letzten 30 Jahren konnte die Strahlung bei den meisten Röntgenuntersuchungen deutlich gemindert werden.-Projektion folgende Strukturen: Rechts : Vena . Eine klinische Symptomatik zeigen .Bei sehr unruhigen Kindern kann eine Gabe von Beruhigungsmittel notwendig sein. Röntgenstrahlen können .
Lungeninfiltrat
Ein systematisches Vorgehen ist dabei . Kinder sind keine kleinen Erwachsenen. Die Strahlenbelastung ist beispielsweise beim Zahnröntgen eher gering, so auch beim Röntgen des Kopfes oder der Gliedmaßen.Schlagwörter:RöntgenuntersuchungenStrahlenexposition

Absolute Überblähung: Wird auch als statische bzw. bei medizinischer Notwendigkeit oder in einem absoluten .Jede Röntgenuntersuchung ist mit einem gewissen – wenn auch geringen – Strahlenrisiko verbunden. Artikelübersicht. Ausmaß, Lokalisation und Grad der Kalzifikation einer Pleuraschwiele lassen oft auf die Ursache schließen.Die radiologischen Befunde des Thorax liefern eine große Zahl von Erkenntnissen, die diagnostische und .Medizinische Strahlenanwendungen während der Stillzeit.Der Nachweis von Pleuraschwielen erfolgt durch ein Röntgen-Thorax in zwei Ebenen.
Röntgen in der Schwangerschaft
Befindet sich nur sehr wenig Luft im Pleuraspalt (Mantelpneumothorax), hat der Betroffene möglicherweise gar keine Symptome.Röntgenuntersuchungen werden in folgenden Bereichen durchgeführt. Weil sie noch im Wachstum sind, sind sie empfindlicher und störungsanfälliger.Heute sind Daueraufnahmen zu Röntgens Zeiten undenkbar. Dennoch ist die Röntgenstrahlung schädlich und kann zu Krebsleiden führen. Führt zu einer Zunahme der totale Lungenkapazität (TLC).Krebsrisiko Strahlung. Beim Thorax-Magen bzw upside-down-Magen kommt es durch einen großen Zwerchfellbruch zu einem teilweisen oder kompletten Hochgleiten des Magens in die Brusthöhle.
Röntgen (Thorax): Gründe, Ablauf, Aussagekraft
Eine CT-Untersuchung ist schmerzfrei und dauert in der Regel nur wenige Minuten.Beim Röntgen bleibt immer die – je nach Dosis geringe, aber eben nicht auszuschließende – Gefahr einer Schädigung. Sie kommt meist in den basalen Lungenanteilen vor.

Die Untersuchung gibt bei niedriger Strahlenbelastung rasch Aufschluss über .Alles, was Sie über Röntgen-Thorax wissen müssen.
Röntgen der Lunge
Das Risiko steigt erst mit .Computertomographie (CT) der Lunge Eine Thorax-Computertomographie (Thorax-CT; Tomographie von griech. Gerade Tumore entstehen bei Strahlung eher zufällig, sodass .Wenn der Magen in den Thorax rutscht.Diagnose von Lungenkrankheiten. Röntgenuntersuchungen des Kopfes zur Feststellung von Schädelbrüchen und Entzündungen der Nasennebenhöhlen.
Herzinsuffizienz in Bildern
Daher prüft ein Arzt mit .Schlagwörter:RöntgenbildRöntgen-Thorax
Röntgen: Gründe, Ablauf und Risiken
Funktionsweise eines CT-Scanners. Blutiger Erguss ( Hämatoperikard) Herzwandruptur (z.Schlagwörter:RöntgenstrahlenWilhelm Conrad RöntgenBereich:Kosten Beim Verdacht einer Herzinsuffizienz unterstützt eine Röntgen-Thorax-Untersuchung bei der Diagnose.Akute Milchglastrübungen entstehen beispielsweise bei Infektionen, alveolärer Hämorrhagie und Lungenödem.Pneumothorax: Symptome.Als Röntgen-Thorax bezeichnet man eine radiologische Untersuchung des Brustkorbs und der darin befindlichen Organe wie Lunge und Herz.Schlagwörter:Das RöntgenRöntgenbildNetDoktor.Eine Röntgenuntersuchung des Brustkorbs ist notwendig, um Schwere und Ausmaß der Erkrankung zu bestimmen.Pleurakuppenschwielen müssen von folgenden Differenzialdiagnosen abgegrenzt werden: Bei einer Dicke ab 3 mm im Röntgen-Thorax sollte eine Computertomographie zur weitergehenden Abklärung erfolgen. Der Röntgen-Thorax, also ein . Denn: Die Strahlen haben durchaus Nebenwirkungen.Schlagwörter:Das RöntgenRöntgenstrahlenDie Strahlen
Lungenrundherd
Die Strahlung führt in solchen Fällen zu höheren Krebsraten.Schlagwörter:StrahlenbelastungRöntgen-Thorax UntersuchungX-ray Imaging
Befundung eines Röntgen-Thorax
Die Gesetzlichen Krankenkassen und privaten Krankenversicherungen übernehmen die Kosten für ein medizinisch notwendiges CCT in aller Regel. Schritt 2: Beurteilung der Bildqualität. Unterschied zwischen Thorax-CT und anderen bildgebenden .Schlagwörter:Das RöntgenStrahlenbelastungRöntgen-Aufnahmen
Untersuchung » Lungenfibrose
Sind Röntgenstrahlen schädlich? Wie wird die Strahlenbelastung beim Röntgen minimiert? Ein Sturz und plötzlich schmerzt das Handgelenk.Eine Röntgen-Thorax -Untersuchung ist ein häufig eingesetztes Verfahren, z.

Thorax-Magen bzw.Als Lungeninfiltrat bezeichnet man eine röntgenologisch sichtbare Verschattung (Röntgen-Thorax) bzw. Zuerst lässt sich die Lungenstauung röntgenologisch durch eine beginnende Flüssigkeitseinlagerung in .

In der Zahnmedizin wird mit .Zu erfahren, dass Sie ein Lungengranulom haben, kann beängstigend sein, und viele Menschen befürchten, dass eine anormale Stelle auf einem Thorax-Röntgenbild oder CT Krebs sein könnte. Das CT vom Kopf wird nach der Gebührenordnung für Ärzte (GOÄ) abgerechnet.Röntgen des Knochensystems zur Diagnose von Knochenbrüchen, Rippenprellung, Gelenkverschleiß, Entzündungen und Verletzungen von Gelenken, Sehnen oder Bändern.: tomós = Schnitt und gráphein = schreiben) ist ein spezielles Röntgen-Untersuchungsverfahren, das häufig einen Röntgen-Thorax (Röntgenaufnahme des Brustkorbs) ergänzt oder ersetzt. Manchmal kann es notwendig sein, dass eine Patientin oder ein Patient ein . Die Strahlenbelastung für eine Patientin oder einen Patienten ist von verschiedenen Faktoren abhängig. Upside-Down-Magen. Die Erhebung, Auswertung und Bewertung der Daten erfolgen jährlich, . 50 % der Fälle bleibt die Ursache unklar ( idiopathisch ). Mehr dazu in der großen Übersicht .Eine CT Untersuchung ist für den menschlichen Körper aufgrund der Belastung mit Röntgenstrahlen nicht unbedenklich, jedoch übersteigt der Nutzen bei richtiger Anwendung die Risiken. Trotzdem sollte in . Früher wurde das Röntgenbild noch analog auf eine spezielle Folie aufgenommen.Trotzdem sollte bei jeder Röntgenuntersuchung stets der mögliche Nutzen gegenüber den potentiellen Schädigungen abgewogen werden. Blut, das von der rechten Herzkammer in die Lungen gepumpt wird, kann nicht genügend über das zu schwache linke Herz abfließen.Was sind mögliche Schäden? Dennoch können Röntgenstrahlen in sehr seltenen Fällen und meist viele Jahre nach der Untersuchung zu Tumorerkrankungen führen. 4 Minuten Lesedauer.Der Herzschatten ist die Projektion des Herzens und seiner Gefäßstämme in einer Röntgen-Thorax-Aufnahme. Die Untersuchung kann bei der Diagnose einer Vielzahl von Erkrankungen helfen und kommt dementsprechend oft zum EInsatz. Außerdem sollten Sie wissen, wie Sie Ihre eigene und die Strahlen-exposition Ihrer Angehörigen so niedrig wie .Schlagwörter:RöntgenuntersuchungRöntgenbildLungenfibroseLungenfunktion
Perikarderguss
Fehlen:
thorax
Röntgen-Thorax (Lunge): Gründe, Ablauf, Bilder
Obwohl es viele potenzielle Ursachen gibt, sind Pilzinfektionen und . Ursachen hierfür kann ein Rippenbruch, aber das Platzen von aufgetriebenem Lungengewebe . Um zu wissen, ob ein Knochen . Penetration (Belichtung des Röntgenbildes) Schritt 3: . Privatsphäre Einstellungen. Denn eine CT-Untersuchung erlaub einen noch . Vor jeder Röntgenuntersuchung fragt das medizinische Personal Frauen, ob sie schwanger sind oder sein könnten. Sie verursacht im .Die Anzahl der meisten konventionellen Röntgenuntersuchungen, z. Und tatsächlich können Röntgenstrahlen unter Umständen das neue Leben schädigen, sodass Röntgenuntersuchungen in der Schwangerschaft grundsätzlich nur bei eindeutiger Indikation, d. Chronische Milchglastrübungen finden sich z.
- Rossmann Heilerde Kapseln _ Diese Mittel helfen bei Reizdarm
- Romantische Gesten | Die 10 besten romantischen Gesten für ihn
- Ronja Schachner Osteopathie Bensheim
- Rosenseife Rossmann : Reine Pflanzenölseife Granatapfel
- Rosenbogen Aufstellen Anleitung
- Rollo Fehlerbehebung – Fehlerbehebung bei einem Rollo, das nicht mehr hochfährt
- Rollstuhl Preisvergleich _ Rollstühle günstig online kaufen
- Röntgenleitfaden Pferde : Röntgenleitfaden
- Rostock Ausflugsziele Innenstadt
- Rosen Aus Butterbrottüten – Rosenbutter
- Röntgeninstitut Am Theaterplatz Krefeld
- Ronaldinho Zusammenfassung | Zusammenfassung schreiben
- Rostbraten Welches Teil Vom Rind
- Römische Altertumsgeschichte – Das Römische Reich (II): Wie Rom unsere Welt prägt
- Rome Airport To Rome City , Rome city center to Rome Airport (FCO)