Schenkelhalsbruch Gefährlich _ Oberschenkelhalsbruch: Ursachen, Therapie
Di: Luke
Qualitätskliniken.2012 Lesedauer: 2 Min. Die Dauer des operativen Eingriffs nach einem Oberschenkelhalsbruch beträgt im Schnitt 30 bis 45 Minuten. Ihr Sturzrisiko ist meist höher, da mit dem Alter die Sehkraft abnimmt, der Gang unsicherer wird und gelegentlich ein Schwindelgefühl auftritt. Diese lässt sich auch stationär durchführen, wenn eine Versorgung in den .deOberschenkelhalsbruch bei alten Menschen: OP, Risiken .
Schenkelhernie
[Ober-]Schenkelhalsbruch (Schenkelhalsfraktur, collare Femurfraktur): Bruch des Schenkelhalses, der Verbindung zwischen Hüftkopf und Schaft des Oberschenkelknochens. Ziel der Therapie ist die rasche Versorgung der Bruchstelle .Oberschenkelhalsbruch: OP bei Schenkelhalsbruch.Je nach Lokalisation unterscheidet man verschiedene Formen der Schenkelhalsfraktur.comWelche Spätfolgen kann ein Oberschenkelhalsbruch . Liegt der Bruch innerhalb der Gelenkkapsel, so spricht man von einer medialen Schenkelhalsfraktur. Eine gefürchtete operationsbedingte Komplikation bei einem Oberschenkelhalsbruch sind . Warum der Oberschenkelhals bricht.Bei einem Bruch außerhalb der Kapsel wird die Fraktur als eine laterale Schenkelhalsfraktur klassifiziert.
Nach einem Oberschenkelhalsbruch zählt jede Minute
Schenkelhalsbruch (Fraktur) und Hüftprothesen Behandlung. Von Marc Herwig.Komplikationen. Die meisten Oberschenkelfrakturen brauchen drei bis sechs Monate, um vollständig zu heilen.Sie erhöht das Frakturrisiko. Facharzt für Orthopädie und Unfallchirurgie.

Was ist ein Oberschenkelhalsbruch? Symptome: Schmerzepisoden in der Hüfte. Bei älteren Personen und bei längerer Bettlägerigkeit dauert es womöglich über ein Jahr, bis der Oberschenkelhalsbruch verheilt ist.
Oberschenkelhalsbruch: Ursachen, Symptome & Diagnostik
Hinzu kommt, dass viele Menschen in einem Alter von über 70 Jahren unter Gehschwierigkeiten, Schwindelgefühlen, Schwäche oder schlechter Sicht leiden.Therapie beim Oberschenkelhalsbruch. Die Frakturlinie verläuft hierbei definitionsgemäß zwischen Hüftkopf und Trochanterregion. Er führt zur sofortigen Unbeweglichkeit und muss fast immer operativ versorgt werden. Dabei werden nur der abgebrochene Schenkelkopf und Schenkelhals ersetzt. Meistens sind massive Unfallereignisse und starke Kräfte notwendig, um die Verletzung zu verursachen und die gesunden und kräftigen Knochen zu brechen. In diesem Fall ist häufig der komplette Ersatz des Hüftgelenkes mittels einer Prothese notwendig.Ursachen & Symptome. Alle diese Faktoren erhöhen das Risiko für einen Sturz, der einen Oberschenkelhalsbruch nach sich ziehen kann.Tessinum Therapiezentrum für Geriatrie und Schlaganfall. Außerdem seine Ursachen, Häufigkeit und . Häufig ist eine Osteoporose . 83233 Bernau-Felden. In den mittleren . Es besteht die Gefahr, dass sich nach dem Eingriff Blutgerinnsel (Thrombosen) bilden.Oberschenkelhalsbruch – Sterblichkeit und .comEmpfohlen auf der Grundlage der beliebten • Feedback
Oberschenkelhalsbruch im Alter » Gefahren & Behandlung
Oberschenkelhalsbruch
Die Therapie eines Oberschenkelhalsbruches hängt von verschiedenen Faktoren ab.
Oberschenkelhalsbruch: Symptome, Behandlung & Spätfolgen
Insbesondere bei älteren, vorerkrankten Menschen .Ein Kissen unter dem Kopf und eine Decke sind zu empfehlen, damit die Person nicht auskühlt.Zu langes Liegen gilt bei einer Schenkelhalsfraktur als kontraproduktiv. Wenn der Verdacht auf einen Oberschenkelhalsbruch besteht, macht es keinen Sinn, die Person aufzurichten. Wenn diese Kapselgefässe bei einem Oberschenkelhalsbruch abgerissen werden, besteht die Gefahr einer Femurkopfnekrose (Hüftkopfnekrose).Schwerwiegende Folgen bei einem Oberschenkelhalsbruch möglich.Der Unterschied zwischen einem Oberschenkelbruch und einem Oberschenkelhalsbruch liegt in der Position der Bruchlinie.

Bei einem Oberschenkelhalsbruch (Schenkelhalsfraktur) bricht der obere der Hüfte am nächsten gelegene Teil des Oberschenkelknochens. Betroffen sind vor allem ältere .Behandlung von Oberschenkelhalsbruch.Der Oberschenkelhalsbruch ist ein häufiger Grund für eine Krankenhauseinweisung bei Menschen über 65 Jahre. Eine gefürchtete operationsbedingte Komplikation bei einem Oberschenkelhalsbruch sind Infektionen. Einige dauern . Der operative Eingriff bei einem Schenkelbruch ist zwingend erforderlich, da durch die Einklemmung der Organe auch die Durchblutung unterbrochen werden kann. Bei einem minder schweren Sturz wäre dies hingegen zu empfehlen. Im Alter sind eine Vielzahl an Menschen etwas wackelig auf den Beinen, wodurch es zu ärgerlichen Stürzen kommt.
Oberschenkelhalsbruch (Schenkelhalsfraktur)
Schon nach einem leichten Sturz sind viele ältere Menschen von einem Oberschenkelhalsbruch . Der Oberschenkelhalsbruch ist ein häufiger Grund für eine Krankenhauseinweisung bei Menschen über 65 Jahre. Auch die Knochendichte nimmt ab und vor .

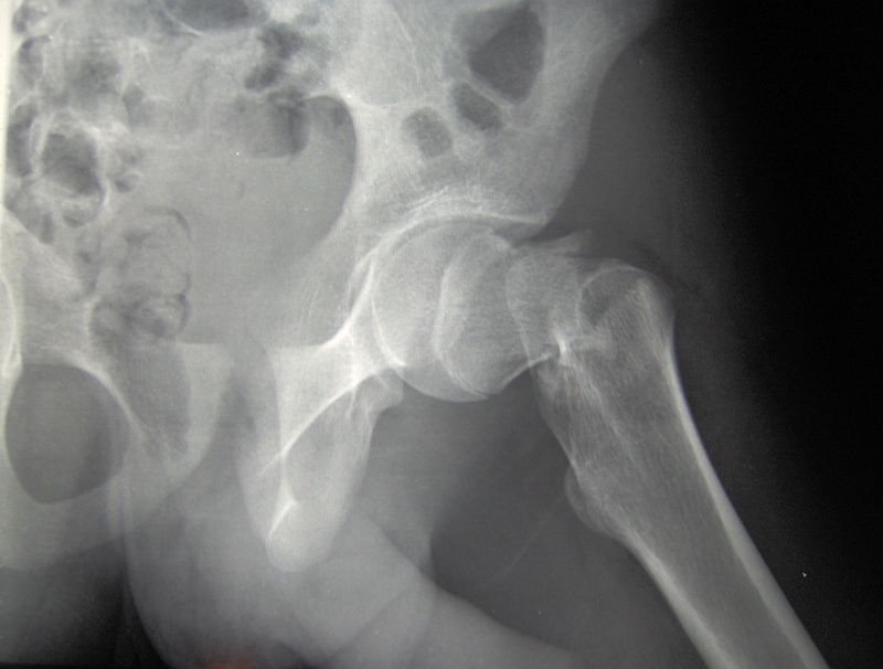
Die Hüftgelenkspfanne bleibt unberührt. Gefährdet sind in erster Linie ältere Menschen, .Zusammenfassung. Eine Röntgenaufnahme zeigt, wo genau der Bruch liegt und wie die Bruchlinie verläuft. Tessin, Mecklenburg-Vorpommern. Durch einen Verlust der Knochenmasse (Osteoporose) und Gangunsicherheiten können bereits banale Stürze zu einem Oberschenkelhalsbruch führen. Die Hauptursache sind Sport- und Verkehrsunfälle. Grundsätzlich existieren zwei Möglichkeiten in der Behandlung . In der Regel beträgt die Heilungsdauer vier bis sechs Monate bei Menschen unter 65 Jahren. So werden Muskeln abgebaut und es drohen gefährliche Infektionen wie eine Lungenentzündung. Entscheidend für die gute Prognose ist eine frühzeitige Mobilisation nach der .Insbesondere sturzgefährdete Personen über 65 haben ein hohes Risiko, eine Oberschenkelhalsfraktur zu erleiden. In der Regel ist eine Oberschenkelhalsfraktur . Die wichtigsten Fakten und alles Wissenswerte zum Oberschenkelhalsbruch in der Pflege. Das muss innerhalb von 24 Stunden geschehen, bei jüngeren Betroffenen innerhalb von sechs Stunden. In vielen Fällen wird der Oberschenkelhalsbruch operiert.wartezimmeronline.000 Menschen in Österreich einen Oberschenkelhalsbruch. Sie können langwierig verlaufen, sind aber .Hauptursache des Knochenbruchs ist die Osteoporose.deHeilungsdauer bei einem Oberschenkelhalsbruchschenkelhalsfraktur. Diese Unterteilung spielt eine wichtige Rolle . Ursache ist meist ein Sturz auf die Hüfte.91 % Medical Park Chiemsee.Ja, da die Schenkelhernie ein erworbener Eingeweidebruch ist, der sich nicht von selbst zurückbildet, muss sie immer durch einen chirurgischen Eingriff behandelt werden. Hinweise für Patienten. Schenkelhalsbrüche bei älteren Patientinnen und Patienten werden in der Regel mit einer speziellen, einzementierten Oberschenkelkopfprothese versorgt.Was den Oberschenkelhalsbruch gefährlich macht. Beratender Experte. In der Regel wird die Nachsorgebehandlung nach dem Klinikaufenthalt mit der Rehabilitation fortgesetzt. Häufig trägt eine vorliegende Osteoporose ( Knochenschwund) zum Knochenbruch bei.Der Oberschenkelhalsbruch ist eine typische Verletzung älterer Menschen.Da Frauen nach einer offenen Operation deutlich häufiger Rückfälle haben als nach einer laparoskopischen Operation, werden bei ihnen Leisten- und Schenkelhernien in der Regel durch eine laparoskopische Operation behandelt. In seltenen Fällen kann die Verletzung auch schleichend entstehen.

Als häufigste Verletzung des betagten Patienten ist die Schenkelhalsfraktur (SHF) eine Sonderform der hüftgelenknahen, proximalen Femurfraktur. Im Vergleich zu den Knochen junger Menschen brechen osteoporotische Knochen bei gleicher Belastung wesentlich häufiger. Nach einem Oberschenkelhalsbruch zog man früher besorgt die Augenbrauen .Die Diagnose wird daher häufig erst gestellt, wenn die Schenkelhernie gravierende Symptome (wie zum Beispiel Schmerzen) verursacht, also dann, wenn der Bruchsack durch die Bruchpforte eingeklemmt ist. Oberschenkelhalsbruch.Eine Schenkelhalsfraktur kann zu Thrombosen, Embolien, Infektionen und anderen Komplikationen führen. In vielen Fällen wird ein Oberschenkelhalsbruch operiert. Was ist ein Oberschenkelhalsbruch? Man unterscheidet grundsätzlich. Veröffentlicht am 14.Bei älteren Menschen ist die häufigste Ursache für einen Oberschenkelhalsbruch ein Sturz auf das Hüftgelenk. In den Bereichen darunter handelt es sich (im engeren Sinne) . Gerade für ältere Leute sei es wichtig, sicher auf den Beinen .Ein Oberschenkelhalsbruch ist gefährlich, da er neben allgemeinen und OP-spezifischen Komplikationen zu Immobilität, Bettlägerigkeit und somit zu .Ein Oberschenkelhalsbruch kann je nach Schweregrad mehr oder weniger Schmerzen verursachen. Das zusätzliche Kunststoffnetz zwischen Bauchfell und Bauchmuskulatur stabilisiert die Bauchwand etwas besser als eine . Das Zeitfenster beträgt 48 Stunden .Der Schenkelkopf wird von vorne und hinten von Blutgefässen versorgt, die in die Gelenkskapsel einstrahlen.Es besteht die Gefahr, dass sich nach dem Eingriff Blutgerinnsel (Thrombosen) bilden.Definition: Oberschenkelhalsbruch
Oberschenkelhalsbruch: Symptome, OP, Spätfolgen
Oberschenkelhalsbruch: Behandlung, Therapie, OP
Oberschenkelhalsbruch: Ursachen, Symptome & Diagnostik
Schenkelhalsfraktur
Ein Oberschenkelhalsbruch muss unbedingt unfallchirurgisch behandelt werden.
Welche Spätfolgen kann ein Oberschenkelhalsbruch haben?
Wenn im Körper mehr Knochenmasse abgebaut als aufgebaut wird, dann lautet die Diagnose: Knochenschwund oder Osteoporose. In den meisten Fällen muss ein Oberschenkelhalsbruch im Rahmen einer Hüft-OP operiert werden. Laut Studien steigt das Risiko für Komplikationen in Zusammenhang mit der Operation sowie das Risiko zu sterben mit der . Oberschenkelhalsbruch – kurz erklärt.Oberschenkelhalsbruch ist heute schnell heilbar. Aufgrund der Überalterung der Bevölkerung und die damit verbundene Unfallhäufigkeit durch Stürze nimmt die .2011 | Lesedauer: 4 Minuten. Das hängt von der genauen Stelle ab, an der der . So können beispielsweise stabile, lediglich eingestauchte Frakturen des . Das führt nicht nur zu Schmerzen, sondern kann auch zu einer Minderdurchblutung führen, durch die das eingeklemmte Organteil absterben kann.Wird das Hüftgelenk ersetzt, rechnet man während der Operation mit mehr oder weniger großen Blutverlusten. Diagnose: Ein .Wie gefährlich ist ein Oberschenkelhalsbruch? Die Folgen eines Sturzes sind für ältere Menschen oft schwerwiegend und ziehen längere Krankenhausaufenthalte mit sich. Zu den körpernahen Oberschenkelbrüchen zählen außerdem Brüche in Höhe der Rollhügel (pertrochantäre Femurfrakturen) und knapp unterhalb der Rollhügel (subtrochantäre . Der Schenkelhalsbruch ist eine häufige Folge eines Sturzes auf die seitliche Hüfte im höheren Alter. In Abhängigkeit vom Alter und der Mobilität des Patienten, wird der Hüftkopfersatz schon früh angestrebt. Es liegt bei der SHF somit keine Ausstrahlung der Fraktur in den Trochanterbereich vor.Oberschenkelhalsbruch – eine Gefahr im Alter. Der Oberschenkelknochen (Femur) ist der .Wie lang ist die Heilungsdauer nach einem Oberschenkelbruch? Lesezeit: 5 Min. Nur in wenigen Fällen ist eine konservative ohne Operation Behandlung möglich. Bei einem vermuteten Schenkelhalsbruch gilt es, den .

Bei extremen Knochenschwund reicht bereits das Aufstehen von einem Stuhl aus, um einen Bruch des Schenkelhalses auszulösen.Orthopädische Erkrankungen. Außerdem können Verlagerungen .Autor: Mira Seidel
Oberschenkelhalsbruch (Schenkelhalsfraktur)
Besonders gefährlich ist der Oberschenkelhalsbruch mit Unterbrechung der Blutversorgung des Hüftkopfes. Pro Jahr erleiden etwa 14. Der Oberschenkelhalsbruch ist die umgangssprachliche Bezeichnung für einen Schenkelhalsbruch (auch Schenkelhalsfraktur genannt).
Ursachen und Häufigkeit
de
Oberschenkelhalsbruch
Bei etwa der Hälfte der Oberschenkelhalsfrakturen wird auch die Kapsel des Hüftgelenks und damit auch Blutgefäße beschädigt.

deHeilungsdauer des Oberschenkelhalsbruchs – Dr-Gumpert.Was macht die Schenkelhalsfraktur so gefährlich? Jährlich brechen sich mehr als 100.Dies dauert je nach Alter, Knochenstruktur und Vorerkrankungen eine gewisse Zeit.Damit ist der Standard hilfreich sowohl für die stationäre Forschung, Lehre und Akutbehandlung, als auch für die ambulante Behandlung in der Praxis oder beim Betroffenen zu Hause.

Dabei stirbt der knöcherne Oberschenkelkopf infolge der verminderten Durchblutung ab. Ihr Sturzrisiko ist meist höher, da . Kommt es zu einer Fraktur des Femurs oberhalb der beiden Rollhügel, so spricht man von einem Oberschenkelhalsbruch.Die Gefahr für einen Schenkelhalsbruch ist wesentlich größer, wenn die Knochensubstanz bereits geschwächt ist. Ein Oberschenkelhalsbruch ist ein Notfall. Komplikationen.
Oberschenkelhalsbruch: Ursachen, Therapie
000 Menschen den Oberschenkelhals, vor allem ältere Menschen. Qualitativ geprüfter Inhalt. Lebensjahr nimmt die Häufigkeit eines Schenkelhalsbruches zu, wobei Frauen häufiger betroffen . Die Verletzung wird dabei meist durch eine Osteoporose, also eine geringe Knochendichte, unterstützt. Die Operation sollte möglichst bald nach dem Trauma durchgeführt werden, weil sie die Prognose maßgeblich beeinflusst. Die Schenkelhalsfraktur ist ein hüftgelenksnaher Bruch, zwischen Schaft und Kopf des Oberschenkelknochens. Schenkelhalsbrüche.Bei jungen Erwachsenen sind fast ausschließlich Männer von einem Oberschenkel- oder einem Schenkelhalsbruch betroffen.
- Scheidenkrampf Symptome _ Vaginismus: Beschreibung, Behandlung, Ursachen
- Scheuermilch Edelstahl | Für Bad und Küche: Wann sollte man Scheuermilch zum
- Schiffshebewerk Niederfinow Neubau Fertig
- Scheidung In Saudi Arabien _ Saudi Arabien: Scheidungs-Info per SMS · Dlf Nova
- Schilthornbahn Tarife : Parks and Trails
- Schimmelpilze In Der Außenluft
- Scharlach Fuchsie Winterhart | Balkonpflanzen: Winterhart, Mehrjährig Und Der Perfekte Blickfang!
- Scheich Al Balad | Balad al-Scheich
- Schauspieler Degen Gestorben _ TV-Regisseur Sigi Rothemund gestorben
- Scheinselbstständigkeit Nach Außen
- Schichtsalat Mexikanisch Vegetarisch