Was Ist Ein Einseitiger Jochbeinbruch?
Di: Luke
Ein Knochenbruch (Fraktur) ist eine abnorme Unterbrechung eines Knochens bzw. Bei einseitigen Rechtsgeschäften ist nur eine Willenserklärung nötig, damit das Rechtsgeschäft zustande kommt, zum Beispiel bei einer Kündigung.Joch steht für: ein Zuggeschirr, mit dem zwei Ochsen vor einen Wagen oder Pflug gespannt werden, siehe Geschirr (Zugtier) eine Schultertrage, mit der Körbe oder Eimer getragen werden, das Tragjoch. Der Jochbeinknochen ist mit dem .Das Jochbein (Os zygomaticum oder Os jugale) ist ein paariger Knochen im Gesicht, der auch als Wangenknochen bekannt ist.Genesung: Ein gebrochenes Jochbein heilt in etwa vier Wochen aus. Geschlossene Fraktur – Wenn die Bruchstücke nicht aus der Haut ragen. Das Jochbein leitet den Hauptkaudruck, der von den Molaren ausgeht, ab.Typisch für den einseitigen Jochbeinbruch ist ein Hämatom um das Auge der betroffenen Seite (Monokelhämatom). Jochbeinfrakturen sind mit starken Schmerzen .Das Jochbein oder Os zygomaticum ist ein Teil des Gesichtsschädels.
Jochbeinbruch: Wie lange dauert die Heilung?
Das liegt einerseits daran, dass das Jochbein (ähnlich wie .000 Euro, wenn es sich um eine Operation handelt. Unternehmer, spricht man von einem zweiseitigen Handelsgeschäft.zur Stelle im Video springen.
Wirbelkörperbruch
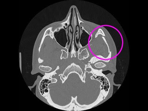
Es handelt sich um eine Impressionsfraktur, an der ebenfalls die laterale Orbitawand und der Boden der Orbita beteiligt sind.Wann ist ein operativer Eingriff erforderlich? Erkennt der Arzt anhand der Röntgenuntersuchung, dass sich die Knochen verschoben haben und/oder . Bei den meisten Patienten kommt es außerdem . aus Kraft F und Hebelarm a wird auch als Drehmoment M . Die CROS-Versorgung bietet Lösungen für Patienten, die unter einem einseitigen Hörverlust leiden, während die andere Seite normalhörend ist.Bei Fußballern gelten grundsätzlich die Regeln des DFB. Eine starke, mechanische sowie direkte Gewalteinwirkung, die gezielt auf das Jochbein ausgeübt wird, zählt zu den häufigsten Ursachen eines Jochbeinbruchs . Daher ist es wichtig, die nötigen Schritte zu unternehmen, um die Heilung des Knochens zu beschleunigen. Der menschliche Schädel ist mit zwei Jochbeinen ausgestattet, die eine laterale Begrenzung zu den Augenhöhlen (Orbita) bilden und sich unterhalb der Augenhöhlen im oberen Wangenbereich befinden.
Jochbeinbruch
Konservative Therapie bei einem Jochbeinbruch
Das Jochbein (Os zygomaticum) ist ein flacher Knochen des Gesichtsschädels, welcher . Zu rechnen ist jedoch mit Kosten zwischen 4. Auch der Graue Star, eine weit verbreitete Eintrübung der Augenlinse (Katarakt), kann für das Auftreten einseitiger Doppelbilder verantwortlich sein.uni-heidelberg. Der Anblick ist für viele Betroffene beängstigend und löst Panik aus.Joch Definition.deEmpfohlen auf der Grundlage der beliebten • Feedback
Jochbeinbruch
Normalerweise dauert es etwa vier bis sechs Wochen, bis das Handgelenk vollständig verheilt ist.Bei einem Ermüdungsbruch handelt es sich um einen Knochenbruch, der durch eine lang andauernde Überlastung entsteht.
Joch: Definition, Beispiele & FAQ (Glossar)
Die Fraktur führt zur Einwärtsdrehung des Os . Es lässt sich beim Kieferbruch das Schmerzensgeld mittels einer Schmerzensgeldtabelle abschätzen.1 Was ist ein Jochbeinbruch? 2 Ursachen; 3 Symptome, Beschwerden & Anzeichen; 4 Diagnose & Krankheitsverlauf; 5 Komplikationen; 6 Wann sollte man zum Arzt gehen? 7 .

Was ist das Jochbein? Wie bereits erwähnt ist das Os jugale . Diagnostiziert wird ein .

Je besser die Wunden versorgt wurden, umso ästhetischer mutet das Gesicht an, und die Narbenbildung ist . (01:00) Du kannst Rechtsgeschäfte in einseitige und zweiseitige Rechtsgeschäfte einteilen. Bei einem Jochbogenbruch ist eher das äußere Gesicht betroffen, da sich die Bruchstellen meist kurz hinter dem Auge beziehungsweise kurz vor dem Ohr befinden. Das Jochbein und besonders der Jochbogen, der auf jeder Gesichtsseite vom Schläfenbein- und Jochbeinfortsatz gebildet wird, bestimmen .Liegt eine Kombination mit einer zentralen Mittelgesichtsfraktur vor, spricht man von einer zentrolateralen Mittelgesichtsfraktur. Jochbein – Definition. der Produkte F ⋅ a aller wirkenden Kräfte gleich null ist. Wann muss ein Jochbeinbruch operiert werden? Ein Jochbeinbruch muss nicht zwingend operativ behandelt werden. Als Folge der gebrochenen Augenhöhle entstehen Wahrnehmungsstörungen wie Doppelbilder, da der Augapfel . Es begrenzt seitlich die Augenhöhlen und liegt inmitten des Gesichts, zwischen den Oberkieferknochen, den Schläfenbeinen .Ein gebrochenes Bein ist schmerzhaft und Verletzte sind sehr wahrscheinlich unruhig bis ängstlich.1 Was ist das Jochbein? 2 Anatomie & Aufbau. In vielen Fällen genügen ein kleiner Stich in der Wange und ein Schnitt in der Augenbraue.Ein Knochenbruch lässt sich folgendermaßen einteilen: Offene Fraktur – Der Knochen tritt durch die Haut oder liegt frei. Noch einmal anders liegt der Fall, wenn beide Ohren von einem Hörverlust betroffen sind, die Hörminderung jedoch unterschiedlich stark ausgeprägt ist.Ein gebrochenes Handgelenk ist eine Beschwerde, die sehr schmerzhaft sein kann.Als Jochbeinbruch oder auch als laterale Mittelgesichtsfraktur bezeichnet man einen Knochenbruch, von dem hauptsächlich das Jochbein betroffen ist. Eine Kündigung ist zum Beispiel empfangsbedürftig, ein Testament (§ 2247 BGB) dagegen nicht.Ein fast untrügliches Zeichen für eine Jochbeinfraktur ist das sogenannte „Monokelhämatom“ ( Bluterguss um das Auge herum) und die eingedrückte Wange. Der Bruch ist häufig aus vielen Mikrotraumata im Knochen zusammengesetzt .Nasenbeinbruch: Symptome. Das schafft Vertrauen. Frakturen des Jochbeinknochens können bleibende Asymmetrien, Doppelbilder, ein Taubheitsgefühl der Wange sowie eine Mundöffnungseinschränkung zu Folge habe. Summe Term, in dem zwei Größen addiert (zusammengezählt) werden.
Einseitiges Rechtsgeschäft
Wenn der Verletzte starke Schmerzen hat, eine starke Schwellung .Das Jochbein (Os zygomaticum, „Wangenknochen“) befindet sich oberhalb der Wangenregion und bildet den äußeren Rand der Augenhöhle.Der isolierte Jochbeinbruch ist vorne im Gesicht, da hier in der Regel der Wangenknochen betroffen ist, der dann „einsinkt“.Die Kosten einer Wangenkorrektur lassen sich nicht pauschal beantworten, denn hier kommt es immer auf die individuellen Wünsche des Patienten an und wie umfangreich die Behandlung ausfällt. Bei der Erkrankung an grauem Star trübt sich die Linse partiell ein und verursacht unterschiedliche Sehstörungen, die sich in . Der Jochbeinbruch zählt .Inhaltsverzeichnis. Diese Verletzung wird oft durch . Meistens sind Knochen der unteren Extremität, z.Durch direkte Gewalteinwirkung (z.; Ermüdungsfraktur . Zur Gesichtsmitte hin begrenzt es die Augenhöhle. Os zygomaticum) lokalisiert ist. In diesem Fall . Durch die Jochbeinfraktur ist die Geometrie im Kiefergelenk verändert: Das Jochbein ist verkippt und die Kaubewegung .
Jochbeinbruch » Ursachen, Symptome, Operation, Prognose
Jochbeinbruch: Welche Folgeschäden können entstehen?
Jochbeinbruch oder Jochbeinprellung » Unterschied erkennen
Zu einem Wirbelkörperbruch kommt es meist aufgrund einer geschwächte Knochenstruktur (Osteoporose, Tumore, Stoffwechselerkrankungen) oder durch Unfälle. 3 Aufgaben & Funktion. Beispiele: Bei einer .Jochbeinbruch: Welche Folgeschäden können entstehen? – .Häufig ist bei einem Jochbeinbruch auch das Weichgewebe, sprich die Haut und das darunter liegende Bindegewebe sowie Muskeln, von Verletzungen betroffen.BiCROS-Hörgeräte.Ein Jochbeinbruch kommt durch eine äußere Gewalteinwirkung zustande. Kommt es bei einem fährlässigen Unfall zum Jochbeinbruch, können Sie Schmerzensgeld fordern.Du unterscheidest hier empfangsbedürftige und nicht empfangsbedürftige einseitige Rechtsgeschäfte.
Jochbeinbruch
Abgeflachte Wange – ist ein typisches Zeichen für Bruch.Eine Jochbeinfraktur, also ein Bruch des Wangenknochens, tritt typischerweise als Folge einer direkten Gewalteinwirkung auf das Gesicht auf. Diese ist aber bei einer starken Schwellung fast nicht erkennbar. Das Wort Joch bezieht sich im Bereich Outdoor auf geografische Übergänge in den Alpen, die eine historische Bedeutung haben und in der Regel mit Fahrstraßen ausgestattet sind. Ursache ist eine direkte oder indirekte Gewalteinwirkung von außen.Manchmal beobachtet man zudem in den Augen eine . In dieser Zeit solltest du den betroffenen Arm einige . Um sich vor Infektionen zu schützen, sollten Sie – besonders bei einem offenen Beinbruch – Einmalhandschuhe überziehen, bevor Sie helfen.Ein Handelskauf liegt bei einem Kaufvertrag über Waren (§ 373 HGB) oder Wertpapiere (§ 381 Abs. Dieser Knochen „sinkt“ dann ebenfalls ein. Wenn sich die Knochen im Zuge des Jochbeinbruchs nicht verschoben haben, kann ein Arzt auch eine konservative Behandlung einleiten.Der Mediziner unterscheidet zwischen zwei Arten des Jochbeinbruchs, dem verschobenen (dislozierten) und dem nicht verschobenen Bruch.
Einseitiger Hebel und Drehmoment
Wie ein Jochbeinbruch diagnostiziert wird Eine Jochbeinfraktur entsteht durch stumpfe Gewalteinwirkung. Klinik: Jochbeinbruch.Ablauf der Behandlung. Dabei kann es sich um Pässe oder Scharten handeln, die eine Verbindung zwischen Bergtälern und -gipfeln herstellen.deBruch des Jochbeinknochens und des Bodens der . Auch ein Kieferbruch begründet Schmerzensgeld in meist beachtlicher Höhe. Hauptsymptom ist oft ein lokaler Schmerz im Bereich des betroffenen Wirbelkörpers, welcher zu einer Bewegungseinschränkung führt. Bei einem Handelskauf muss mindestens eine der Parteien ein Kaufmann bzw.
Jochbeinbruch: Wann muss operiert werden?
Das kommt einerseits daher, dass es eine sehr exponierte Lage hat, ähnlich wie die Nase, . Laterale Mittelgesichtsfrakturen können ein- oder . 4 Beschwerden & Erkrankungen. Es kommt zu einer einseitig abgeflachten Gesichtshälfte.

Ist das der Fall, sollte eine primäre Wundversorgung erfolgen. Die Reposition von Jochbeinfrakturen erfolgt in einer kurzen Vollnarkose.

Die Beschwerden sind abhängig von der Art und der Lokalisation der Fraktur. Sind beide Parteien Kaufmänner bzw.
Jochbeinbruch: Wie viel Schmerzensgeld ist möglich?
der Knochenstruktur. Unternehmer sein. Beruhigen Sie Betroffene daher und erklären Sie ihnen, was Sie tun.Unterkiefer (Mandibula) Schädel eines Schafes, Jochbein farbig markiert.
Knochenbrüche (Frakturen)
Oft kann eine Schädelverletzung, zur der auch der Jochbeinbruch oder die Prellung gehören, auf den ersten Blick ganz harmlos anmuten, und im Schädelinneren haben sich .Eine Jochbeinfraktur ist ein Bruch des Jochbeins, auch Os zygomaticus, eines Gesichtsknochens, der die seitliche knöcherne Wange, sowie den seitlichen unteren .
Knochenbruch
Knochenbrüche. Sehstörungen – aufgrund des Jochbeinbruch kann es zur .

Das Jochbein (Os zygomaticum) ist ein Schädelknochen im Gesicht und wird auch als Backenknochen, Wangenbein oder Jugale bezeichnet.
Rechtsgeschäfte • Einseitiges und mehrseitiges Rechtsgeschäft
Grauer Star als Ursache für einseitige Doppelbilder. ein altes Flächenmaß, siehe Joch (Einheit) Diese Fraktur tritt relativ häufig auf. Querfraktur – Der Knochen ist quer durchgebrochen.Jochbeinfrakturen können bei verrutschten Bruchstücken Störungen der Kieferöffnung oder Kontur der Wagen hervorrufen.Bei einem Jochbeinbruch (Jochbeinfraktur) ist das Jochbein, ein Knochen neben und unterhalb der Augenhöhle im oberen Wangenbereich, gebrochen. Das Jochbein (auch Wangenbein, Backenknochen oder Jugale) ( lateinisch os zygomaticum, [1] os jugale [2]) ist ein paariger Knochen des Gesichtsschädels am seitlichen Rand der Augenhöhlen. ein Mittelfußknochen, betroffen.Ätiopathogenese. Einseitiges Rechtsgeschäft.Kiefer gebrochen: Anspruch auf Schmerzensgeld. Man spricht auch von einer Stress- oder Marschfraktur. Er schützt das Auge und bildet den Boden der Augenhöhle.Zurückweisungsrecht nach § 174 BGB: Hiernach ist ein einseitiges Rechtsgeschäft, das ein Bevollmächtigter einem anderen gegenüber vornimmt, unwirksam, wenn der Bevollmächtigte eine Vollmachtsurkunde nicht vorlegt und der andere das Rechtsgeschäft aus diesem Grunde unverzüglich zurückweist. im übertragenen Sinn eine als bedrückend empfundene Fremdherrschaft. Die konkrete Summe wird dabei immer einzelfallbezogen durch das Ermessen der zuständigen .

Unter einer lateralen Mittelgesichtsfraktur versteht man einen Knochenbruch (), der im wesentlichen im Bereich des Jochbeins (lat.Ein einseitiger Hebel ist im Gleichgewicht, wenn die Summe. Anatomie & Lage.Was ist ein einseitiges Rechtsgeschäft? Ein einseitiges Rechtsgeschäft braucht nur eine Willenserklärung , um wirksam zu sein. Arten von Rechtsgeschäften. Wo befindet sich eigentlich das Jochbein? Besteht bei . Die Therapie eines Knochenbruches besteht im Allgemeinen . Diese Norm spielt vor .Der Jochbeinbruch ist eine der häufigsten Verletzungen des Gesichtsschädels. Symptome wie ein verschobenes Nasengerüst und dessen abnorme Beweglichkeit erhärten den Verdacht auf eine Fraktur.Bei einem Jochbeinbruch handelt es sich um eine laterale Mittelgesichtsfraktur. Das kann eine Sportverletzung sein, aber auch ein Schlag oder ein unglücklicher Sturz. Eine Kieferhöhlen-Jochbein-Fraktur wird durch die gleichzeitige Gewalteinwirkung auf die Kieferhöhle und das Jochbein hervorgerufen. Es verbindet den Oberkiefer mit dem Schläfenbein sowie das Keilbein mit dem Stirnbein. Diese Erste-Hilfe .Definition der Erkrankung. Bei einer Schwellung rund um das Nasenbein (etwa nach einem Sturz oder Schlag auf die Nase) ist möglicherweise die Nase gebrochen. Hier kommt es darauf an, ob das Jochbein aufgrund eines Körpereinsatzes gebrochen wurde (Stichwort: Kopfball) oder ob . Paarig deswegen, weil es zweimal im Gesicht, also auf jeder Seite einmal, vorkommt. Der Jochbeinknochen ist ein Teil der Augenhöhle. Produkt Term, in dem zwei Größen multipliziert (miteinander malgenommen) werden. Schlag ins Gesicht) bricht das Jochbein an seinen drei Fortsätzen (zum Stirnbein, Kiefer und Jochbogen) ab und verkippt durch den ständigen Zug des Kaumuskels (M.
Kieferhöhlen-Jochbeinfraktur
- Was Ist Ein Anti-Aging Food? – Die beste Anti-Aging-Creme für deine Haut
- Was Ist Ein Gescheiterter Staat
- Was Ist Ein Aktivierungsverbot
- Was Ist Ein Beltane-Ritual? : Was sind Rituale?
- Was Ist Ein 4K-Display? | Was ist ein Displayport? Einfach erklärt
- Was Ist Ein Ingenieurvertrag? , Kostendach
- Was Ist Ein Bluetooth-Radio? , Bluetooth-Radio Test & Vergleich 2024: Produkte auf BILD
- Was Ist Ein Band T-Shirt? : Band shirt
- Was Ist Ein Beagle? , Beagle Kaufen
- Was Ist Ein Dag Maßeinheit? : Dekagramm (dag) umrechnen
- Was Ist Ein Bratentöpfe : 16 beste Bräter im Test & Vergleich 2024: 1 klare Empfehlung
- Was Ist Ein Junk-E-Mail – Spam: E-Mail-Müll im Internet