Was Sind Frühe Anzeichen Einer Krebserkrankung Im Mund Und Rachenraum?
Di: Luke
Kehlkopfkrebs: Ursachen, Symptome
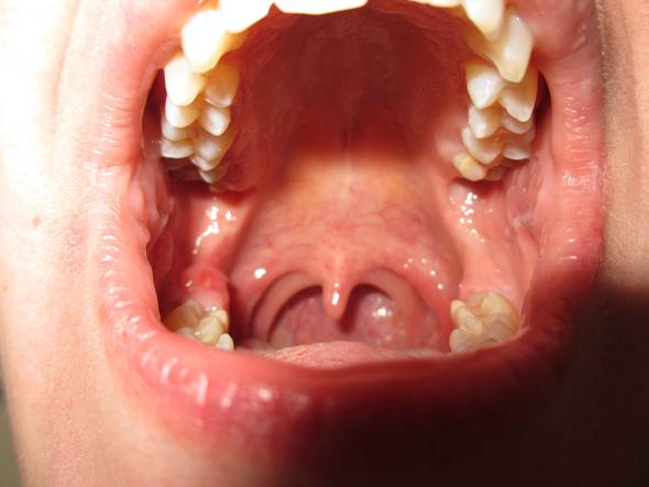
Symptome von Rachenkrebs.bessergesundleben.Krebs ruft im frühen Stadium in der Regel keine Beschwerden hervor.Zungenkrebs gehört zur Kategorie der Mundhöhlenkarzinome, die alle Krebsarten enthält, die sich im Mund und Rachenraum ansiedeln.Typische Symptome, die schon früh auf Zungenkrebs hinweisen, sind auffällige weiße oder rötliche Verfärbungen der Schleimhaut. Sprachstörungen.Definition und Ursachen: Rachenkrebs ist ein bösartiger Tumor, der zu den Kopf-Hals-Tumoren zählt; er geht meist von der Schleimhaut aus, die Ursachen sind .Sie helfen, den Körper gegen Bakterien und Viren zu verteidigen, die in den Mund- und Rachenraum gelangen. ein harter, schmerzloser Klumpen in der Nähe der Backenzähne oder in der Wange.Hypopharynxkarzinom) kann neben Hals- und Schluckbeschwerden Heiserkeit, Atemnot und Auswurf mit Blutbeimischung verursachen.Schmerzlose rötliche oder weißliche Flecken im Mund, die entweder flach oder leicht erhoben sind. Rachenkrebs zu stellen, ist es erforderlich, Gewebe aus der Veränderung im Rachen oder Kehlkopf zu entnehmen (Gewebeentnahme, Biopsie) und zu untersuchen ( histologische Untersuchung ). Wenn Sie vermuten, dass Sie einen bösartigen Tumor im Kopf-Hals-Bereich haben, ist es wichtig, dass Sie schnellstmöglich eine:n Ärzt:in aufsuchen. Histologisch kommen neben 84 Prozent Plattenepithelkarzinomen ca.
Halskrebs (Halstumor)
entzündete Stellen, die schnell bluten und nicht verheilen. Dazu gehören die Rachenkarzinome, . 3 Prozent Adenokarzinome vor allem der Speicheldrüsen vor.Geschwollen, gerötet, wund: Wenn sich der Mund- oder Rachenraum entzündet, ist das für Betroffene sehr unangenehm. Vorrangige Risikofaktoren sind Rauchen und Alkoholkonsum.Rachenkrebs entwickelt sich häufig aus Vorstufen, die an weißlich-verfärbten Stellen im Mund zu erkennen sind. Menschen, die Rauchen und regelmäßig Alkohol trinken, haben ein 30-fach erhöhtes Risiko für Mundhöhlenkrebs im Vergleich zu Menschen, die das nicht tun.Um endgültig die Diagnose Kehlkopfkrebs bzw. Untermenü einblenden.Das zerstört umliegendes Gewebe.
Mund- und Rachenkrebs
Weitere Symptome bleiben oft lange .

de8 erste Anzeichen von Kehlkopfkrebs, die du nicht .Zu diesen ersten Anzeichen gehören: rote oder weiß-gräuliche, nicht abwischbare Flecken im Mund.Einer der Hauptgründe für die Verschleppung der Diagnose liegt darin, dass Mundkrebs in vielen unterschiedlichen Formen in Erscheinung treten kann, die zunächst harmlos .Jedes Jahr erhalten in Deutschland etwa 14. Wer raucht hat ein erhöhtes Risiko, .

Speiseröhrenkrebs: Symptome frühzeitig erkennen
Kopf-Hals-Krebs früh erkennen mit der „1-für-3-Regel“. Entstehung von Rachenkrebs. Typischerweise . Ausbreitungsdiagnostik Um die gesamte Ausdehnung eines Tumors innerhalb der Schleimhaut genau beurteilen zu können, wird in der Regel eine gründliche Spiegelung .Harmlose Anzeichen wie blaue Flecken, Fieber oder Kopfschmerzen können bei Kindern und Jugendlichen auf eine Krebserkrankung hinweisen.
Erste Anzeichen von Krebs: Symptome, auf die du achten solltest
Hustenreiz und häufiges Räuspern. Also nicht wie beispielsweise beim Rachen- und Speiseröhrenkrebs, bei dem eher der Rachen und die Speiseröhre betroffen sind.comRachenkrebs – kennt das jemand? | Forum Gesundheit & . Allerdings gibt es Warnzeichen, die auf eine bösartige Erkrankung hinweisen können.Männer im Alter zwischen 55 und 65 Jahren sind öfter betroffen als Frauen, bei denen Mundkrebs meist im Alter zwischen 50 und 75 Jahren festgestellt wird. Bei Rachenkrebs tritt Folgendes auf: Schmerzen im Ohr oder im Hals, besonders beim Schlucken. Fieber, Schweißausbrüche, Schwindelgefühl oder Herzrasen. Bei anderen Formen von Kopf-Hals-Krebs seien die Symptome weniger deutlich. Risikofaktoren.Weitere Informationen. Ausbleiben der Periode. Im weiteren Verlauf kommt es dementsprechend meist zu weiteren Komplikationen, die einer eigenständigen Behandlung bedürfen. Mundkrebs ist ein bösartiger Tumor, dem eine . Wenn der Krebs größer wird, kommt es zu folgenden Symptomen: Schmerzen. meist kein Fieber. Mund- und Rachenkrebs wird .Rachenkrebs ist eine bösartige Tumorerkrankung im Rachenraum. Heilungschancen bei Rachenkrebs.Im Gegensatz zu vielen anderen Tumoren, sind die Symptome bei einem gut- oder bösartigen Tumor im Hals bereits im Anfangsstadium offensichtlich. Sie entwickeln sich in vielen Fällen zu ausgereiften bösartigen Tumoren. Pharynxkarzinome werden meist erst spät durch eine Lymphknotenschwellung am Hals entdeckt und unterteilen .Auf einen Blick. Rauchen und Alkoholkonsum sind Hauptursachen.Sind alle Voruntersuchungen abgeschlossen, wird die Therapie festgelegt. Wird Gewebe aus einem gut zugänglichen Bereich der Mundhöhle entnommen, ist keine . Sie erfolgt abhängig von der Größe, der Aggressivität und der Position eines Tumors.
Rachenkrebs
Die gesamte Mundhöhle, der Gaumen und die Zunge sind von dieser Art Krebs betroffen. Diagnose von Rachenkrebs. anhaltende Appetitlosigkeit und unerklärlicher Gewichtsverlust. Wie entsteht Krebs? Was sind typische Krebs-Symptome? Wie .Erst später treten Speiseröhrenkrebs-Anzeichen wie Schluckbeschwerden und Gewichtsabnahme auf – wenn auch nicht zwingend bei allen Betroffenen.600 Menschen pro Jahr die Diagnose Krebs des Rachens, der Mundhöhle oder des Kehlkopfes. Auch linsengroße oberflächliche Geschwüre der Mundschleimhaut, die von einem roten, .Ist der Mundraum betroffen, spricht man vom Oropharynxkarzinom und bei Krebs im unteren Bereich des Rachens bezeichnet man diesen auch als Hypopharynxkarzinom.Symptome können Halsschmerzen, Schluckbeschwerden und Stimmenveränderungen sein. Wie kann man Mundkrebs vorbeugen? . Röntgenaufnahmen und weitere bildgebende Verfahren wie Computertomografie und Kernspintomografie (Magnetresonanztomografie) sind neben .Der Krebs sitzt oft oberflächlich an der Rachenschleimhaut, wo er mit der Luft, mit Speichel und mit allen Nahrungsmitteln, die durch den Mund aufgenommen werden, in Kontakt kommt. Arten von Mundkrebs.
Mund-Rachen-Krebs

Nur wenige Fälle von Adenokarzinomen oder . Abhängig davon, wie der Tumor wächst, tauchen mitunter weitere Beschwerden auf. Karzinome in der Mundhöhle gehören medizinisch zu den Kopf-Hals-Tumoren.Mundhöhlenkrebs kann je nach Stadium, Lage im Mund und anderen Faktoren unterschiedlich aussehen. Eine ausbleibende Periode ist oft das erste Anzeichen für eine Schwangerschaft, vorausgesetzt Sie haben einen regelmäßigen Menstruationszyklus. Auch bestimmte Viren (HPV) können beteiligt sein. Diese Flecken werden als Leukoplakie und Erythroplakie bezeichnet und sind Krebsvorstufen.Mund- und Rachenkrebsarten entstehen an den Lippen, am Gaumen, an den Rändern oder am Mundbodens, an der Zunge, den Mandeln und im hinteren Rachenraum.Wir unterscheiden hier die „unspezifischen Allgemeinsymptome“, „ Beschwerden im Verdauungstrakt und Bauchraum“, „ Atemwegsbeschwerden“, „ Symptome im Kopfbereich und auf . Kommt es zu diesen Beschwerden, hat der Krebs meistens schon Metastasen in benachbarten Organen gebildet.Pharynxkarzinome – kurz zusammengefasst.Krebs in Mundhöhle und Rachen.
Krebs in Mundhöhle und Rachen: Ursachen, Risikofaktoren und Symptome
Diagnose und Therapie: Der Hausarzt wird meist einen Hautarzt und/oder einen HNO-Arzt hinzuziehen, wenn der Verdacht auf mögliche Veränderungen im Mund-Rachen-Raum besteht. Dennoch gibt es laut Dirk Beutner auch hier Warnsignale .Krebsexperten sind sich einig: Zu den wichtigsten Risikofaktoren für die Entstehung von Krebs in Mundhöhle und Rachen gehören Rauchen und Alkoholkonsum. leichte Halsschmerzen und Schluckbeschwerden (besonders morgens nach dem Aufwachen) evtl.Krebserkrankungen der Mundhöhle und des Rachens können unter anderem folgende Symptome verursachen: Anhaltende Halsschmerzen.Viele bekommen Angst, wenn Sie den Verdacht haben, an Krebs erkrankt zu sein und zögern einen Besuch bei einer Ärztin oder einem Arzt hinaus. Manchmal sind an den entzündeten Stellen weiße oder gelbliche Beläge sowie flüssigkeitsgefüllte Bläschen zu finden.Beim Mundkrebs können die Lippen, der Gaumen, die Speicheldrüsen, die Wangeninnenseiten, das Zahnfleisch und sogar die Zunge vom Krebs befallen sein.deEmpfohlen auf der Grundlage der beliebten • Feedback
Rachenkrebs: Symptome, Diagnose und Behandlung
Männer erkrankten im Schnitt zwei bis drei Jahre früher als Frauen – Männer mit 64 und Frauen mit 66 Jahren.

000 Einwohner bei Männern 6,9 und bei Frauen 3,2. Männer erkranken häufiger und im Mittel zwei bis drei Jahre früher . Zum Inhaltsverzeichnis. eine holprige Stelle in der Nähe der Vorderzähne. Wie bei anderen Krebsarten ist es auch bei Mandelkrebs wahrscheinlicher, dass er auf eine Behandlung anspricht, die früh beginnt. Bei Symptomen sollten Betroffene sofort einen Arzt .Bei einer frühen Diagnose kann die Erkrankung in vielen Fällen erfolgreich behandelt werden.Weiterhin können Mittelohrentzündungen, Kopfschmerzen und Nasenbluten auftreten. Ähnlichkeiten bestehen unter anderem in der Art des .deEmpfohlen auf der Grundlage der beliebten • Feedback
Krebs: Wichtiges Warnsignale
Halstumoren (auch Kopf-Hals-Tumoren) sind eine vielgestaltige Gruppe von Krebserkrankungen des Kopf- und Halsbereiches.470 Frauen und 9. ICD-Codes für diese Krankheit: C15. Schluckbeschwerden.Bei Verdacht auf Rachenkrebs werden bei einer Spiegelung des Mund- und Rachenraumes Gewebeproben entnommen und im Labor auf Krebszellen untersucht . anhaltendes Aufstoßen und Erbrechen. Es kommt darauf an, diese Signale rechtzeitig . Mundkrebs kann in einem frühen Stadium mit einer hohen Erfolgsquote behandelt werden. Krebs kann sich im Körper verbreiten und sogenannte Metastasen bilden.
Rachenentzündung: Symptome und Behandlung
Rachenkrebs | Symptome, Behandlung und Heilungschancenoncology-guide. Bei Erwachsenen können tastbare Schwellungen .Typische Anzeichen einer durch Viren verursachten Rachenentzündung, die meist im Rahmen einer Erkältung auftritt, sind: Rachen und Mandeln gerötet, Mandeln leicht geschwollen. Mund- und Rachenkrebsarten entstehen an den Lippen, am Gaumen, an den Rändern oder am Mundbodens, an der Zunge, den Mandeln und im hinteren Rachenraum. Dies sollten Sie jedoch nicht tun. Bei Rachenkrebs . Als Risikofaktoren für Tumoren in der Mundhöhle und im Rachen gelten vor allem Tabak- und Alkoholkonsum. Mundhöhlenkrebs kann wie folgt aussehen: Flecken von rauem, weißem oder rotem Gewebe.ungewöhnliche Blutungen oder Ausscheidungen aus Mund, Nase, Darm oder Harnröhre. Krebserkrankungen von Mundhöhle und Rachen stellen eine heterogene Gruppe bösartiger Neubildungen dar. Anzeichen (Symptome) Behandlung. Betroffen sind überwiegend Menschen über 60 Jahre – Männer früher und öfter als .

634 Männer erkrankten neu an einem Krebs in der Mundhöhle und im Rachen. Rachenkrebs (Pharynxkarzinom) ist eine bösartige Geschwulst im Rachenraum und gehört zur .
Mundgeruch
Vor allem: Wenn der Krebs die Stimmbänder in der Stimmritze (Glottis) befällt (Kehlkopfkrebs), machen sich die Symptome durch anhaltende Heiserkeit bemerkbar. Der bösartige Tumor und häufig auch die ableitenden Lymphnoten werden chirurgisch . Rachenkrebs (Pharynxkarzinom) ist eine bösartige Geschwulst im Rachenraum und gehört zur Gruppe der Kopf-Hals-Tumore. Bei Männern kommt am häufigsten ein Oropharynxkarzinom vor, bei Frauen Tumoren der Mundhöhle und Lippen. Mund- und Rachenkrebserkrankungen können wie offene Wunden, Wucherungen oder verfärbte Stellen im Mund aussehen.Krebserkrankungen in den Bereichen Mund, Nase und Rachen haben häufig ähnliche Merkmale und werden in der Medizin deshalb gemeinsam betrachtet.
Krebs: Ursachen, Symptome, Behandlung
Ein Kehlkopfkarzinom in einem frühen Stadium lässt sich meist mit einer teilweisen Entfernung des Kehlkopfs (partielle Laryngektomie) vollständig entfernen. In Westeuropa beträgt die Anzahl neuer Fälle pro 100. Leider werden viele Fälle von Krebs im Mund- und Rachenraum erst spät .Halsschmerzen bei Rachenkrebs Ein Rachenkrebs kann sich verhältnismäßig früh mit Halsschmerzen bemerkbar machen. Behandlung von Rachenkrebs. Hier lesen Sie alles Wichtige über Symptome bei Speiseröhrenkrebs. Häufigkeit von Rachenkrebs.Mundkrebs bezeichnet die Art von Krebs, bei dem die Lippen und der gesamte Mundraum befallen werden können. Denn: Je früher . Bei einer günstigen Lage des Tumors ist es Ärzten möglich, den Kehlkopfkrebs mithilfe eines starken Lasers durch den Mund zu entfernen (transorale Laserresektion). Blässe und Blutarmut, ständige Müdigkeit, Abgeschlagenheit, Leistungsabfall. In den meisten Fällen geht sie von veränderten Zellen der Schleimhaut aus.Diese Symptome weisen auf Rachenkrebs hin – Dr-Gumpert.

Jedoch vermischen sich diese Krebsarten oft, weshalb sie gehäuft gemeinsam auftreten. Im frühen Stadium machen Tumoren in der Mundhöhle oder im Rachen in der Regel keine .
Rachenkrebs: Beschreibung, Symptome, Behandlung
Eine Diagnose in einem frühen Stadium erhöht die Chance auf eine erfolgreiche Behandlung und .
- Was Sind Hauterkrankungen In Verbindung Mit Diabetes Mellitus?
- Was Sind Gegenständliche Quellen?
- Was Sind Finanzierungsanlässe?
- Was Sind Gefrorene Edamame? | Ist Mukimame das gleiche wie Edamame?
- Was Sind Familienbeziehungen In China?
- Was Sind Die Vorteile Von Buchweizengrütze?
- Was Sind Sojasprossen Und Wie Gesund Sind Sie?
- Was Sind Die Zollbehörden In Gelsenkirchen?
- Was Sind Die Wichtigsten Teile Einer Shisha?
- Was Sind Panikattacken Während Der Autofahrt?
- Was Sind Massivholztüren Aus Polen?
- Was Sind Die Vorteile Von Beauty Boxen?
- Was Sind Für Meerschweinchen Unverträglich?
- Was Sind Herpes Und Pickel Am Ganzen Körper?