Wie Behandelt Man Eine Klassische Trigeminusneuralgie?
Di: Luke
Weitere Symptome können eine Rötung der Nase sowie Tränenfluss sein.Wichtig zu erwähnen ist bei der Therapie der Trigeminusneuralgie zudem die Wirkungslosigkeit von klassischen Analgetika wie nichtsteroidalen Antiphlogistika! Nach Versagen der konservativen Therapie (= nicht ausreichendes Ansprechen auf drei Behandlungsversuche in Monotherapie oder bei erfolgloser Kombination) kann eine .Bei Patienten mit einer Trigeminusneuralgie kann eine Schmerzattacke spontan auftreten oder sie wird durch bestimmte äußere Faktoren, so genannte Trigger, wie Kauen, Sprechen, Schlucken, Zähneputzen oder Waschen des Gesichts mit kaltem Wasser ausgelöst. Die Ursache für eine Trigeminusneuralgie ist eine Schädigung, Überreizung oder Erkrankung des 5. Medikamentöse Behandlung In den meisten Fällen wird sie koservativ therapiert. Betroffen sind fast nur Personen jenseits des 50. Symptome Trigeminusneuralgie.
Trigeminusneuralgie Ursachen, Therapie & Spezialisten
Annika Röcker , Aktualisiert am 20. Herkömmliche Schmerzmittel wie Acetylsalicylsäure (ASS), Ibuprofen oder Paracetamol wirken bei einer Trigeminusneuralgie nicht, weil die Schmerzattacken zu kurz sind.Wie wird eine Trigeminusneuralgie behandelt? Wohin kann ich mich wenden? Wie erfolgt die Abdeckung der Kosten? Welche Ursachen hat eine Trigeminusneuralgie? Welche Symptome können auftreten? Wie . Allerdings findet . Selbst wenn Medikamente eine Linderung des Leidens bewirken, kommt es . Alle Spezialisten anzeigen.Die Trigeminusneuralgie gehört zu den seltenen Erkrankungen. Steigert sich diese Schmerzempfindlichkeit auf ihr höchstes Niveau, kann bereits ein Windstoß, der . Ebenfalls wird das Bestrahlungsgerät bei einer klassischen Trigeminusneuralgie verwendet.Autor: AOK-Die Gesundheitskasse
Diagnose und Therapie der Trigeminusneuralgie
Rufen Sie uns an +49 (0)228 90 90 75 0.000 Personen tritt jedes Jahr eine Trigeminusneuralgie zum ersten Mal auf. Wird eine Trigeminusneuralgie diagnostiziert, ist eine ärztliche Behandlung daher unbedingt notwendig. Bereits kleine Berührungen der Haut oder Bewegungen, wie sie beim Sprechen oder Kauen zustande kommen, verursachen Schmerzen. Top weiter mit: Entstehung, Ursachen und Häufigkeit der Trigeminusneuralgie – Symptome und Diagnostik bei Trigeminusneuralgie – Therapie .
Neuralgie
Dieser Nerv ist für verschiedene Bereiche im Gesicht zuständig. Fachliche Unterstützung: PD Dr. Selbst stärkste Schmerzmittel wie Opioide haben keine . Man unterscheidet die idiopathische Trigeminusneuralgie (oder klassische) von der symptomatischen Trigeminusneuralgie.

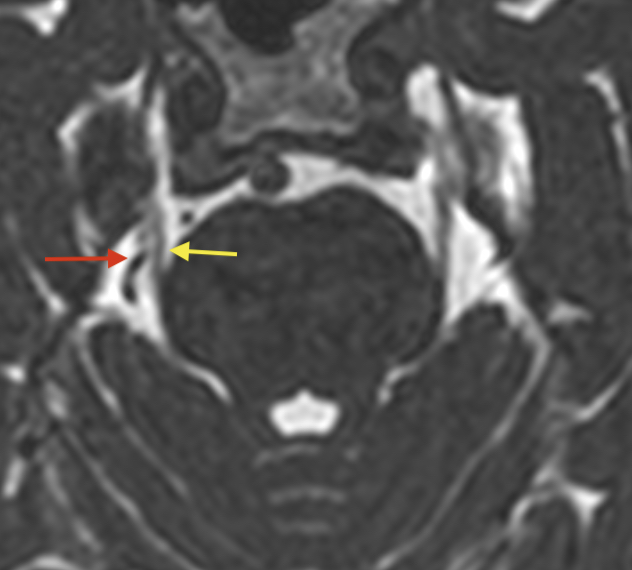
Einleitung: Die typische Trigeminusneuralgie wird überwiegend durch eine vaskuläre Kompression des N.Wie behandelt man eine Trigeminusneuralgie? Die Trigeminusneuralgie lässt sich mit Medikamenten, operativen Verfahren oder einer Bestrahlung erfolgreich behandeln. In diesem Fall wird der Trigeminusnerv an einer bestimmten Stelle bestrahlt, sodass dieser keine . Die medikamentöse Therapie besteht in der Gabe von Antiepileptika, die eine bessere Wirkung erzielen als Schmerzmittel. Eine Trigeminusneuralgie ist ein plötzlich einschießender, starker Gesichtsschmerz im Bereich der Stirn, der Wangen oder des Kinns. Zusammenfassung. Neurochirurgie.Behandlung: Starke Schmerzmittel wie Antikonvulsiva oder Antiepileptika oder operative Zerstörung des betroffenen Nervs.Die klassische Trigeminusneuralgie, die fast immer mit blitzartig einschießenden Schmerzen einhergeht und durch Trigger wie Zähneputzen, Kauen, Sprechen, Schminken oder einen Spaziergang in kalter Winterluft ausgelöst werden kann, hat als Ursache immer einen mikrovaskulären Konflikt: Eine Arterie oder eine Vene stehen in engem Kontakt . Hirnnervs (Trigeminusnerv).000 neuen Erkrankungsfäl len pro Jahr aus, wobei Frauen etwas häufiger von der Erkrankung betroffen sind als Männer. Was wie ein harmloser Hautausschlag aussieht, kann langwierige Nervenschmerzen, die Post-Zoster-Neuralgie, zur Folge haben. SYMPTOME UND DIAGNOSE Die Internationale Kopfschmerzgesell schaft (IHS) teilt die Trigeminusneuralgie anhand der Ursachen in zwei verschie dene Gruppen ein– die .
Inwiefern hilft das Gamma Knife bei einer Trigeminusneuralgie?
Was es damit auch sich hat.In Deutschland geht man derzeit von mehr als 4. Man unterscheidet eine klassische oder idiopathische von einer symptomatischen Trigeminusneuralgie: Bei der idiopathischen Trigeminusneuralgie, die den atypischen Gesichtsschmerz auslöst, ist die Ursache weitgehend unbekannt, bei der symptomatischen Trigeminusneuralgie kann dagegen eine Ursache gefunden werden. Was ist Trigeminusneuralgie? Die Ursache für eine Trigeminusneuralgie ist .Ursache Trigeminusneuralgie. Bei der symptomatischen Form lässt sich eine Ursache lokalisieren, z. Ist eine Erkrankung der Grund für die Nervenschmerzen, muss diese zunächst .Die Trigeminusneuralgie lässt sich mit Medikamenten, operativen Verfahren oder einer Bestrahlung erfolgreich behandeln.

Es gibt zwei Möglichkeiten, wie eine Trigeminusneuralgie behandelt werden kann: mit Medikamenten oder durch einen Eingriff.Radiochirurgische Behandlung.
Trigeminusneuralgie (Gesichtsschmerzen) » Therapie
Nicht nur die Trigeminusneuralgie kann zu Schmerzen im Gesicht führen und sollte daher vor der Behandlung klar von anderen möglichen Ursachen abgegrenzt werden.Wie wird eine Trigeminusneuralgie ausgelöst? Die meisten Menschen bekommen eine Trigeminusneuralgie, weil ein Blutgefäß auf den Trigeminusnerv drückt. Der Druck beeinträchtigt den Nerv derart, dass er Reize nicht wie gewohnt weiterleiten kann. Er tritt meist einseitig auf und kann die Lebensqualität erheblich mindern. Schroeder: Eine Trigeminusneuralgie kann geheilt werden, wenn man die Ursachen beseitigen kann, wie zum Beispiel bei der sekundären Trigeminusneuralgie durch Tumorentfernung oder bei der klassischen Trigeminusneuralgie durch Entfernung der vaskulären Kompression. kann eine Entzündung (häufig Multiple .Hauptsymptome – Intensive, kurz dauernde, wiederkehrende Schmerzen in einem Bereich des Gesichts. Die Rolle des MRT als obligate Zusatzdiagnostik der 1.Der Nervus Mandibularis versorgt den Bereich des Unterkiefers sensibel und steuert zusätzlich u.Trigeminusnerv gereizt: Die 5 besten Wege aus dem Schmerzpraxistipps. Legt sich wie ein Gürtel um den Rumpf: Typischer .

Herkömmliche Schmerzmittel wie . Frauen erkranken häufiger als .Die Trigeminusneuralgie kann auf verschiedene Arten behandelt werden.Was ist eine Trigeminusneuralgie? Welche Ursachen hat eine Trigeminusneuralgie? Was löst die Schmerzen aus und wie lange . Unsere Neurochirurgen können Ihnen auch bei anderen Beschwerden helfen. Allerdings raten Experten erst dann zu einer Operation, wenn folgende Kriterien vorliegen: Die medikamentöse Therapie verspricht keinen Erfolg mehr: Obwohl die Dosis der Medikamente stetig erhöht worden ist, leiden . In den meisten Fällen wählen die Ärzte und .Trigeminusneuralgie: Ursachen, Symptome und Therapie. Entsprechend kann es zu Schmerzen im Stirnbereich, bei Augen und Nase kommen. Beschwerden im Augenbereich können durch eine Muskelschwäche (Tolosa-Hunt . Die Leitlinie ist evidenzbasiert und eine Fortentwicklung der . Letzte Aktualisierung: 13. In den letzten Jahren hat sich die Gamma-Knife-Behandlung der Trigeminusneuralgie als wenig invasives Verfahren einen festen Platz erworben ( 20 – 22 ). Artikelinhalte im . Nervenschmerzen sind seltener als gewöhnliche Schmerzen . Wie häufig ist eine Trigeminusneuralgie? Man geht von etwa 6 jährlichen Neuerkrankungen auf 100. einige Teile der Kaumuskulatur an.

Die Behandlung einer Trigeminusneuralgie richtet sich nach der jeweiligen Ursache. Dieser Nerv leitet . Ärztinnen und Ärzte sprechen hier von einer klassischen oder primären . In einigen Fällen treten die Schmerzen im Bereich von Wangen und Oberkiefer oder auch im Unterkiefer auf.Zur Behandlung der Trigeminusneuralgie gibt es eine Vielzahl an Möglichkeiten. Am Anfang wird man immer versuchen, eine Trigeminusneuralgie konservativ mit . Diagnostik – Genaue Beschreibung der Schmerzen, körperliche .deEmpfohlen auf der Grundlage der beliebten • Feedback
Trigeminusneuralgie: Therapie, Symptome
Welche Therapie im Einzelfall zu empfehlen ist, hängt von verschiedenen Faktoren ab und muss in einem ausführlichen Gespräch mit dem behandelnden Neurologen geklärt werden. 70 Prozent der Betroffenen sind beim Ausbruch der Erkrankung älter als 60 Jahre.Bei der idiopathischen Form findet sich keine eindeutige Ursache; sie tritt spontan auf. Bei der klassischen Form sind der . Weitere Auslöser können eine Nasennebenhöhlenentzündung oder Zahnschmerzen sein.Medikamente bei Trigeminusneuralgie Dies wird durch verdickte Blutgefäße verursacht.Nicht immer kann ein solcher Konflikt bildgebend festgestellt werden.Gürtelrose: Warum eine frühzeitige Behandlung so wichtig ist.

Diese Methoden kommen oft parallel zu Arzneimitteln zum Einsatz.Außerdem ist viel häufiger als bei der klassischen Trigeminusneuralgie auch der Stirnast betroffen.
DIE TRIGEMINUS NEURALGIE
Die Trigeminusneuralgie verursacht heftige Schmerzen, die die Lebensqualität der Betroffenen sehr stark einschränken können. Nach längerer Krankheitsdauer lässt dieser Effekt jedoch zunehmend nach. Was ist eine Trigeminusneuralgie? Der Nervus trigeminus übermittelt Sinnesreize .Ein Windhauch reicht aus und ein elektrisierender Schmerz fährt wie ein Blitz durchs Gesicht: Neurologen können die Trigeminusneuralgie (TN) aufgrund ihrer prägnanten Symptomatik relativ leicht diagnostizieren. Bei dieser Form ist die Ursache für die . Mark Obermann, Essen (DGN) Wahl bei Trigeminusneuralgie ist etabliert.
Therapie und Verlauf bei Trigeminusneuralgie
Trigeminus Operation Bei der Trigeminus Operation wird .Sollte die Trigeminusneuralgie demnach als Folge eines Hirntumors auftreten, ist die Behandlung mittels Gamma Knife durchaus denkbar.000 Personen bei der klassischen Trigeminusneuralgie aus. trigeminus bedingt. Neben der klassischen Trigeminusneuralgie gibt es auch die symptomatische Trigeminusneuralgie.Mittel der Wahl zur Behandlung „klassischer“ Trigeminusschmerzen sind Antikonvulsiva, vor allem Carbamazepinund Oxcarbazepin. Januschek stellt klar: „Zu Beginn einer Therapie sollte immer ein medikamentöser Behandlungsversuch zum Beispiel mit der Gabe von Carbamazepin erfolgen.Je nach Ausprägung kann die Trigeminusneuralgie verschieden behandelt werden: Als konservative Methoden stehen Akupunktur und eine dem . In den letzten zehn Jahren wurden neue Erkenntnisse über die Symptomatik, die Pathophysiologie und die Behandlung der .
Trigeminusneuralgie
Nicht jede enge Lagebeziehung zwischen N.
So behandelt man Nervenschmerzen
Trigeminusneuralgie ist ein starker Gesichtsschmerz infolge einer Funktionsstörung des 5. Bei der klassischen Trigeminusneuralgie ist der Auslöser meist ein erhöhter Druck auf den Nerv.
Trigeminusneuralgie: Ursachen und Therapie
Die klassische Trigeminusneuralgie tritt erst in höherem Alter auf, ca.Neben der medikamentösen Behandlung kann man eine Trigeminusneuralgie ebenso operativ therapieren.deTrigeminusneuralgie: Therapie, Symptome – NetDoktor.
Trigeminusneuralgie: Informationen & Spezialisten

Ziel dieser Leitlinie ist eine Optimierung der medikamentösen und operativen Behandlung der Trigeminusneuralgie. Bei etwa vier von 100.; In der Regel halten die Schmerzattacken nur wenige Sekunden an – sie können jedoch mehrmals am Tag auftreten.Die klassische Trigeminusneuralgie spricht zu Beginn der Erkrankung meist gut auf eine Behandlung mit Antiepileptika an.; Häufig sind es bestimmte Trigger, wie .7 Behandlung & Therapie. Umgekehrt kommt ein neurovaskulärer Konflikt relativ häufig vor, führt aber nur selten zu einer Trigeminusneuralgie.Trigeminusneuralgie im Überblick: Die ausgeprägten Schmerzen im Wangen- und Kieferbereich werden durch eine Reizung des Nervus Trigeminus, (ein Hirnnerv), ausgelöst.klassische, idiopathische und sekundäre Trigeminusneuralgie (TN).Neuralgie im Gesicht Tritt eine Neuralgie im Gesicht auf, ist das für den Betroffenen äußerst unangenehm. 10 Das können Sie selbst tun. trigeminus und Gefäßen führt zwangsläufig zu einer Trigeminusneuralgie, diagnostisch bedeutend scheint vor allem eine Verdrängung oder .Neben den Medikamenten gibt es gegen Nervenschmerzen weitere Therapiemöglichkeiten, zum Beispiel Entspannungstechniken oder die Behandlung mit schwachem elektrischen Strom, genannt TENS.
- Wie Bekomme Ich Schnell Instagram Follower
- Wie Berechnet Man Den Anstieg Der Linearen Funktion?
- Wie Ändere Ich Das Audiogerät In Windows 11?
- Wie Befestige Ich Getrocknete Und Gepresste Pflanzen Auf Einem Herbarbogen?
- Wie Beantrage Ich Ein Visum On Arrival?
- Wie Beantrage Ich Ein Uk Visum?
- Wie Ändere Ich Die Anschrift Von Bürgerservicebüro St Gertrud In Lübeck?
- Wie Bekomme Ich Eine Steuerliche Id Nr?
- Wie Berechnet Man Den Radius Eines Vierecks?
- Wie Beantrage Ich Einen Schulwechsel?
- Wie Bekomme Ich Mein Hermes Paket In Die Niederlande?
- Wie Arbeitest Du Als Fachärztin Für Psychotherapie?
- Wie Bekomme Ich Frisches Bio-Fleisch?
- Wie Alt Wird Eine Munchkin _ Wie alt werden Katzen? Alles zur Lebenserwartung