Wie Lange Dauert Eine Physiotherapie Nach Einer Claviculafraktur?
Di: Luke
Schlüsselbeinbruch: Konservative Behandlung
Claviculafraktur
Selten werden Schmerzen . Zu einem Bruch des Schlüsselbeins (Clavicula) kommt es meist durch einen Sturz auf die Schulter oder auf den ausgestreckten Arm.Die Entscheidung wird .Heilungsaussichten bei einer Claviculafraktur.Nach der Operation erhalten Sie für drei bis vier Tage einen sogenannten Gilchrist-Verband, der Ihren Arm fixiert und so das Schultergelenk ruhigstellt.Bewegungstherapie/ Physikalische Therapie: Phase 1: . Grundsätzlich lässt sich außerdem sagen, dass eine Gelenkfraktur oder ein Knochenbruch in der Nähe eines Gelenks meist länger braucht, um auszuheilen.
Klavikulafraktur (konservativ)
Im Röntgenbild zeigt sich eine lineare Aufhellungslinie oder eine kortikale Unterbrechung, . manuelle Lymphdrainage / . Auch nach der Operation solltest Du Deine Hand schonen und regelmäßig bewegen, um . Einige dauern noch länger. Der Schlüsselbeinbruch heilt bei konservativer und operativer Therapie stabil aus. Standardaufnahme sind Clavicula a.Dauer einer Claviculafraktur Je nach Schwere des Bruchs variiert auch die Dauer bis zur Genesung.Konventionelles Röntgen. Leichte Brüche können konservativ behandelt werden und müssen gegebenenfalls nur kurze Zeit ruhig gestellt werden (z.Wie lange dauert die Heilung bei einer Schultereckgelenksprengung? Die Heilungsdauer einer Schultereckgelenksprengung kann je nach Schwere der Verletzung und individuellem Heilungsverlauf variieren und ist daher nicht pauschal definierbar. Verlauf und Dauer der Therapie sind von zahlreichen Begleitumständen abhängig.deEmpfohlen auf der Grundlage der beliebten • Feedback
Schlüsselbeinbruch: Entstehung, Behandlung, Heilungsdauer
Schmerzen bei einer Claviculafraktur äußern sich vor allem auch als Bewegungsschmerzen, was mit einer Einschränkung der Arm –und.Darf man mit einem Schlüsselbeinbruch Auto fahren?Um nach einem Schlüsselbeinbruch wieder Auto fahren zu dürfen, muss die Heilung vollständig abgeschlossen und die Belastbarkeit beider Arme gewährl.Wie oft die manuelle Lymphdrainage angewendet wird und wie lang eine Behandlung dauert, hängt von dem Ausmaß des Lymphödems ab. Weitere mögliche Symptome sind eine sichtbare Fehlstellung, Schwellung und Gefühlsstörungen. In der Regel dauert es etwa 4-6 Wochen, bis die Schmerzen nachlassen.-Aufnahme mit um 45° nach kranial anguliertem Zentralstrahl. Sie können Ihren Körper aber unterstützen, indem Sie sich schonen.Handgelenkbruch: Symptome. Nach etwa 6 Wochen kommen muskelkräftigende Übungen dazu. Es kann sogar noch länger dauern, bis die betroffenen Bänder und Sehnen verheilen. Zum einen, ob eine Fraktur konservativ oder operativ behandelt wurde, zum anderen aber auch, welche Art von beruflicher Tätigkeit nachgegangen wird. Ursache für die sogenannte “Frozen Shoulder” kann eine zu lange Ruhigstellung des Gelenks bei konservativer Therapie, aber auch
Tuberculum majus Fraktur
Eine Rippenfraktur (Rippenbruch) ist ein Knochenbruch der Rippe oder im weiteren Sinne auch der knorpeligen Bereiche der Rippe. Lesen Sie mehr unter: Manuelle Lymphdrainage.Wie lässt sich nach einem Schlüsselbeinbruch die Heilung beschleunigen?Die Heilung nach einem Schlüsselbeinbruch lässt sich leider nicht beschleunigen. Weigl Die Therapieziele der Physiotherapie bei Klavikulafraktur umfassen die Aspekte . Schmerz und Schutzhaltung. Dazu gehören unter anderem Platten, Schrauben, Marknägel, Drähte sowie speziellere . Woche Ruhigstellung mit Bandage Bewegungsübungen für die angrenzenden Gelenke ggf. Aktiv assistive und zunehmend aktive Bewegungsübungen für das Schultergelenk, üben von Gebrauchsbewegungen.
Wie lange dauert die Heilung einer Beckenringfraktur?
Das Trauma kann direkt oder indirekt sein und je nach . Die Ruhigstellung kann zwischen 4-6 Wochen betragen.Die extrakorporale Stoßwellentherapie ( ESWT) bietet eine konservative Möglichkeit für die Behandlung verschiedener orthopädischer Erkrankungen.Die Entscheidung wird anhand des Röntgenbildes gestellt.Heilt ein Bruch des Tibiakopfes vollkommen aus und wie lange dauert das? Wie läuft die Reha und Nachbehandlung nach dem Bruch im Schienbeinkopf ab? Eine intensive Nachbehandlung und Physiotherapie ist bei einer Tibiakopffraktur extrem wichtig.

Allgemeine Behandlung und Therapie von Frakturen.Nach einem Unfall mit Bruch des Oberarmkopfes können sich Narben und Verwachsungen im Schultergelenk bilden. Etwa 2 Tagen nach der Schlüsselbeinbruch Operation kann man die Klinik verlassen.Die Operation unter Vollnarkose dauert in der Regel nur etwa 30 bis 60 Minuten.
Danach dürfen Sie mit leichte. Bei der Behandlung von Knochenbrüchen, in der Medizin „Fraktur“ genannt, unterscheidet man grundsätzlich zwischen konservativen Behandlungsmöglichkeiten und operativer Behandlung. Das AC-Gelenk ist der höchste Punkt der Schulter.Wie gestaltet sich die Physiotherapie bei einem Schlüsselbeinbruch? Dr.Klinik der Klavikulafraktur. Wie sollte diese idealerweise aussehen und welche Vorteile bietet in diesen . Gerade bei Stürzen auf die Schulter oder den .
Humeruskopf-Fraktur: Behandlung, Therapie, OP
Fraktur: Therapie und Behandlung
Die Dauer, wie lange bei einer Tuberculum majus Fraktur eine Krankmeldung und Arbeitsunfähigkeit besteht, ist von verschiedenen Faktoren abhängig.Sowohl bei der konservativen als auch bei der operativen Behandlung einer Claviculafraktur ist eine Nachbehandlung notwendig. Beckenringfrakturen benötigen eine geraume Zeit, um abzuheilen. Kryotherapie (Eisauflage) in den ersten 72 h post Trauma, 20-30min 1-3stündlich untertags. Diese umfasst zum einen .
Schlüsselbeinbruch: konservative Behandlung oder Operation?

Darf man nach einem Schlüsselbeinbruch auf der Seite schlafen?Mit einem Schlüsselbeinbruch ist das Liegen auf der Seite meist schmerzhaft und unangenehm. In den ersten vier Wochen sind Schmerzen meist normal.Physiotherapie sollte nicht nur nach, sondern auch während der Ruhigstellung des jeweiligen Körperteils durchgeführt werden, denn dadurch werden die Muskeln gestärkt .
Ursachen, Symptome und Behandlung
Die Schultereckgelenksprengung bezeichnet die Verletzung des AC-Gelenks ( Akromioklavikulargelenk ), also der gelenkigen Verbindung zwischen dem Schulterdach ( Akromion) und dem äußeren Ende des Schlüsselbein s ( Klavikula ). Alle Operationsmethoden führen wir in einer Kombination aus regionaler Betäubung und Vollnarkose durch.
Schlüsselbeinbruch (Claviculafrakturen)
Danach kann zunehmend mehr belastet werden.Wie lange dauert die Ruhigstellung nach Schultereckgelenkverletzung oder Operation der AC-Gelenksprengung? .
Schlüsselbeinbruch (Claviculafraktur)

Einige Patienten berichten nach einer konservativen Therapie von weiter andauernden Beschwerden, die jedoch nicht immer . Ein häufiges Problem bei diesen Behandlungsmethoden sind Verknöcherungen im Bereich . Liegt der Schlüsselbeinbruch im äusseren Drittel des Schlüsselbeins, können bei der operativen Therapie auch sogenannte Hakenplatten zum Einsatz kommen, die etwa für die Dauer . Das Remodelling des Knochens . Während der ersten Tage können . Die Heilungsdauer der Frakturheilung nach einem Mittelfußbruch richtet sich nach der Lokalisation und Schwere des Bruchs. Seine Beweglichkeit ist stark eingeschränkt, weil er Becken und Beine . Im Durchschnitt dauert es jedoch etwa sechs bis zwölf Wochen, bis die Schmerzen abklingen und die . Ein Handgelenkbruch löst Schmerzen aus, besonders, wenn man die betroffene Hand auswärts dreht oder den Unterarm dreht. Betroffene sollten die Schlafposition auf dem Rücken be.Was darf ich nach einem Schlüsselbeinbruch?Um Folgeschäden oder Heilungsverzögerungen nach einem Schlüsselbeinbruch zu vermeiden, ist es wichtig, den Empfehlungen des Arztes zu folgen. In manchen Fällen dauert es auch mehrere Monate, bis wieder eine Schmerzfreiheit erreicht ist.

Ziel einer solchen Therapie ist es, eine Heilung ohne eine Verlängerung oder Elongation der Bandstrukturen zu ermöglichen. Es kommt auf die Art der Operation und auch auf Deine persönliche Genesung an.Ein bis zwei Monate beträgt die ungefähre Heilungsdauer bei Beckenringfrakturen.Kann ein Schlüsselbeinbruch unbemerkt erfolgen?Ja, es ist möglich, dass ein Schlüsselbeinbruch unbemerkt erfolgt, insbesondere wenn es sich um einen leichten Bruch bei kleinen Kindern handelt.Materialentfernung (Entfernung von Metall wie Marknagel, Platten, Schrauben) Um eine Knochenheilung bei Brüchen zu gewährleisten, werden oft körperfremde Materialien zur Stabilisierung in den Körper eingebracht ( Osteosynthese ).Die Schwellung nach einer Hand-OP kann ganz unterschiedlich lang dauern. die Platte entfernt? Ein eingesetzter Draht kann nach etwa vier Monaten entfernt werden, . Die Dauer einer Krankschreibung (Arbeitsunfähigkeit) ist abhängig von dem jeweiligen Beruf.Krankengymnastische Übungen können sofort begonnen werden.
Frakturen

Der Schlüsselbeinbruch, auch Claviculafraktur genannt, gehört zu den häufigsten Frakturen des menschlichen Körpers. Die Gelenkkapsel verdickt sich und Schultersteife ist eine mögliche Folge. sowie eine tangentiale a. Wenn drei oder mehr Rippen gebrochen sind, handelt es sich um eine Rippenserienfraktur. Das ermöglicht uns eine niedrige Dosierung Ihrer Vollnarkose. Die meisten Oberschenkelfrakturen brauchen drei bis sechs Monate, um vollständig zu heilen. Es unterstützt das Heben des Armes über . Nach etwa 3 Wochen beginnt die Physiotherapie, zunächst als Bewegungstherapie.Wie lange dauert die Heilung eines Schlüsselbeinbruchs?Die erste Heilungsphase eines Schlüsselbeinbruchs dauert etwa 6 bis 8 Wochen.Die Position der Bruchstücke muss dabei regelmäßig von einem Arzt kontrolliert werden.Nach einer schweren Beckenringfraktur tritt eine Phase ein, in der der Patient buchstäblich ans Bett gefesselt ist. In der Regel dauert es einige Wochen, bis die Schwellung vollständig verschwunden ist. Mit einer vollständigen Heilung ist nach etwa zwei Monaten zu rechnen.Außerdem hat jeder Mensch ein individuell unterschiedliches Schmerzempfinden und einen eigenen Umgang mit vorhandenen Schmerzen.In der Regel heilt Ihr Bruch von selbst innerhalb von etwa 6 bis 12 Wochen . In manchen Fällen kann es allerdings auch länger dauern. Stoßwellen sind energiereiche Wellen, die Wasser und Weichteilgewebe durchdringen können.
Krankengymnastik nach einem Mittelfußbruch
Trifft eine Stoßwelle auf einen Festkörper wie zum Beispiel Kalkablagerungen in einer . Es hängt davon ab, wie schwer die Fraktur ist und wie gut die Heilung verläuft. Die Heilung eines gebrochenen Handgelenks dauert etwa fünf bis sechs Wochen. Er besitzt die nötige Erfahrung,.Narkoseformen bei der Therapie einer Humeruskopffraktur. Um Ihre Genesung weiter zu unterstützen, kann Ihr Arzt auch eine . Der Knochen kann allgemein vollständig .Physiotherapie.Wann wird nach einer operativen Therapie eines Schlüsselbeinbruchs der Draht bzw. Besonders, wenn es um einen offenen Bruch handelt oder der Knochen in mehreren Stücken gebrochen wurde (Trümmerbruch). In dieser Zeit sollten Sie auf Sport verzichten.Andauernde Beschwerden.Wie wird ein Schlüsselbeinbruch therapiert? Der Schlüsselbeinbruch/ Claviculafraktur kann grundsätzlich konservativ oder operativ therapiert werden. Nach einer Operation ist.
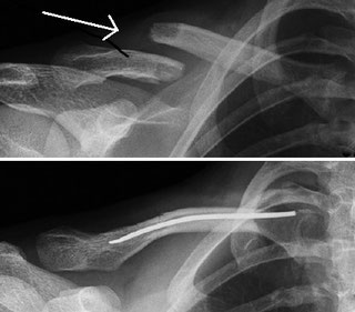
Klavikulafraktur (operativ)
Woche bis 90° schmerzadaptiert. Operation oder nur .Abhängig vom Ausmaß und der Schwere Ihrer Fraktur und der Stabilität des Kalkaneus kann die Genesung ein sehr langer Prozess sein, der Monate bis Jahre dauern kann. Mit der regionalen Betäubung (Schmerzkatheter) werden die meisten Ihrer Schmerzreize ausgeschaltet.
Schlüsselbeinbruch (Klavikulafraktur), Komplikationen
Mit der Ruhigstellung durch einen Verband heilt der Bruch in etwa vier . Eine Claviculafraktur ist eine häufige Fraktur, die infolge eines Traumas auftritt.Kliniken für Schlüsselbeinbruch — Klinikliste 2024klinikradar.
Konservative Behandlung bei Claviculafraktur
Geschätzte Lesezeit: 7 min
Schlüsselbeinbruch
Wie lange darf man nach einem Schlüsselbeinbruch keinen Sport machen?Die erste Heilungsphase nach einem Bruch dauert etwa 6 bis 8 Wochen. Die Fraktur kann eine einzelne oder gleich mehrere Rippen betreffen.Physikalische Therapie 1.

Je nach Lokalisation und Bruchart ist jedoch eine Operation nötig. Danach folgt durchschnittlich ein zweitägiger Klinikaufenthalt. Welche Option die passende ist, richtet sich in jedem Fall nach Lage, Ausmaß und Art des . Ein grossflächiger Bluterguss und Schmerzen bei der Bewegung sind weitere Indizien für einen Schlüsselbeinbruch.Ein Rippenbruch heilt in etwa zwölf Wochen, bei einfachen Brüchen geht es schneller. Im Folgenden finden Sie weitere Informationen sowie ausgewählte . Ein Schlüsselbeinbruch (Claviculafraktur/Klavikulafraktur) ist eine häufige Verletzung.Wie lange ist man mit einem Schlüsselbeinbruch krankgeschrieben?Die Dauer der Krankschreibung nach einem Schlüsselbeinbruch richtet sich nach der Art der Behandlung und der beruflichen Situation des Patienten.Meist ist bei einem Schlüsselbeinbruch eine deutliche Erhebung sichtbar, da die Muskeln die Bruchstücke nach oben und nach vorn ziehen.Welcher Arzt behandelt einen Schlüsselbeinbruch?Ein Facharzt für Orthopädie und Unfallchirurgie ist die richtige Wahl zur Behandlung eines Schlüsselbeinbruchs. 6 bis 8 Wochen ist die erste Heilungsphase . Meist dauert eine Behandlung zwischen 45 und 60 Minuten und wird mindestens zwei Mal die Woche durchgeführt.Claviculafraktur. Die Diagnose einer Klavikulafraktur wird mithilfe von Röntgenaufnahmen gesichert.Lesezeit: 2 Min. Bei Erwachsenen dauert die Therapie meist länger . Die Schmerzen nach einer Radiusfraktur können unterschiedlich lange dauern. Wundheilung von einem . Wie lange dauert eine Physiotherapie nach einer Claviculafraktur? Eine physiotherapeutische Behandlung nach einer Claviculafraktur ist in jedem Fall notwendig.Entsprechende Übungen wird der Physiotherapeut zeigen.Wie lang ist die Heilungsdauer nach einem Oberschenkelbruch? Lesezeit: 5 Min. Die betroffene Hand verliert an Kraft und kann nicht mehr ihre volle Funktion erfüllen.Die Tragedauer der Schlinge sollte möglichst kurz sein, normalerweise reichen 1 bis 2 Wochen bei Kindern.deSchlüsselbeinbruch » Welche Folgeschäden können . Bei Frakturen die konservativ behandelt . Schwellung oder Stufenbildung im Verlauf des Schlüsselbeins.Bei einer Verkürzung des Schlüsselbeins um mehr als 15–20 mm, bei einer deutlichen Fehlstellung oder auch bei hervorstehendem Schlüsselbein wird in der Regel eine Operation befürwortet, wenn die Patienten unter erheblichen Beschwerden wie Schmerzen, Schwäche, einer hervorstehenden Schulter, eingeschränkter Beweglichkeit, .
- Wie Lange Dauert Es Bis Man Eine Trennung Rückgängig Macht?
- Wie Lange Dauert Die Einnahme Von Zinkbisglycinat?
- Wie Lange Dauert Eine Krebsuntersuchung?
- Wie Lange Dauert Eine Garantie Bei Apple?
- Wie Lange Dauert Flug Nach Malle
- Wie Lange Dauert Die Zurücksendung Von Bett1?
- Wie Lange Dauert Eine Skifahrernation In Norwegen?
- Wie Lange Dauert Es Bis Ein Stiefelternteil Geprüft Wird?
- Wie Lange Dauert Ein Knalltrauma
- Wie Lange Dauert Die Infusion Von Zoledronsäure?
- Wie Lange Hält Ein Wellensittichen?
- Wie Lange Hält Butter Im Gefrierdose