Wie Wird Ein Retinoblastom Entfernt
Di: Luke
deEmpfohlen auf der Grundlage der beliebten • Feedback
Retinoblastom » Ursachen, Symptome, Diagnose & Behandlung
Man tut sich schwer zu sagen, welches künstlich ist.Wie wird ein Retinoblastom behandelt? Die Behandlung hängt davon ab, wo sich das Retinoblastom befindet und ob es sich ausgebreitet hat. Je früher ein Retinoblastom festgestellt wird, desto höher sind die Chancen auf eine vollständige Heilung. Krankheitsbild. Dabei treten keine Komplikationen auf und das Sehvermögen bleibt erhalten.Ein erfahrener Augenarzt kann allein durch diese Untersuchung meist schon ein Retinoblastom erkennen und von anderen Veränderungen am Auge abgrenzen.Zuletzt aktualisiert am 20. Normalerweise sind nur kleine Schnitte nötig. Beschwerden treten meist erst dann auf, .Schielen (Strabismus) Eine weiße Pupille. Es gibt zahlreiche Verfahren, ein Retinoblastom .Muttermale, die entfernt werden müssen, werden aus der Haut geschnitten. Wenn beide Augen betroffen sind, setzen die Ärzte Chemotherapie, Bestrahlung und nichtinvasive Therapien ein.Behindert ein gutartiger Lidtumor, beispielsweise in Form einer Warze oder Fettablagerung das Sehen, so ist eine Entfernung möglich. Die Entfernung wird jeweils individuell geplant.Retinoblastom – Deutsche Kinderkrebsstiftungkinderkrebsstiftung. Sie tritt in der Regel bei Säuglingen und Kleinkindern auf und geht von Zellen der Netzhaut (Retina) aus. Sehstörungen und -verminderung. Studien und Register. Möglich sind auch bösartige Tumore am .

Nach Entfernung des Auges wird ein Glasauge als Grundlage für eine Prothese in die Augenhöhle eingesetzt. Augenentzündungen.

Veränderungen am Augenlid werden als kleine Lidtumore bezeichnet. Die Ärztin oder der Arzt betäubt die Stelle zuvor mit einer Spritze.Kann das Sarkom nicht vollständig entfernt werden, ist es bereits in Nachbargewebe eingewachsen oder hat Metastasen gebildet, ist die Prognose schlechter. Auch Ultraschall und MRT können helfen. Unter anderem der Fokus des Krebses (er kann bifokal sein, wenn er ein Auge betrifft, oder unifokal, wenn er in beiden vorhanden ist), das Alter des Patienten und in welchem Teil des Auges sich die . Medizinisch korrekt beschrieben, konnte als Voraussetzung für ein Retinoblastom die Mutation der Allelen des Retinoblastom-Gens auf dem Chromosom 13 in Bande q14 ausgemacht werden.Wächst das Retinoblastom in Richtung Aderhaut, tritt oft eine Netzhautablösung ein, da sich Tumoranteile unterhalb der Netzhaut ansiedeln. Sind potenzielle Vorläuferzellen eines Retinoblastoms Teil des mutanten Sektors, so können diese nach . Mithilfe von Ultraschalluntersuchung , Magnetresonanztomographie (MRT) und Computertomographie (CT) kann der Arzt bei der Diagnose feststellen, wie weit sich das . Das Retinoblastom ist eine seltene Krebserkrankung des Auges. Meist wird es in einem Zeitraum von etwa vier Jahren nach der Diagnosestellung des Retinoblastoms diagnostiziert [2]. Diese wird meist ambulant durchgeführt und dauert nur wenige Minuten.Bei einem einseitigen Retinoblastom ist die Entfernung des erkrankten Auges die sicherste Behandlungsmethode.Das Retinoblastom bzw. Dies kann die Chancen erhöhen, dass Ihr Kind nicht operiert werden muss, um das Auge zu entfernen.

Das Retinoblastom kann in der Regel relativ einfach entfernt werden. Das Retinoblastom wird in 98 % der Fälle durch eine genetische Mutation des Retinoblastom-Gens ( RB1 oder RB) verursacht. Es entsteht in der Netzhaut (Retina) und kommt .deErkrankungsverlauf beim Retinoblastom – Krebsgesellschaftkrebsgesellschaft.Wie wird ein Basaliom behandelt? Die Therapie des Basalioms besteht in dessen Entfernung.Kliniken für Retinoblastom — Klinikliste 2024klinikradar.
Basaliom Behandlung
Durch eine umfassende Diagnostik können wir diese jedoch sehr geringhalten. Die Therapie bösartiger Lidtumore ist hingegen .Retinoblastom ähnelt. Da das Wachstum eines Retinoblastom nur von unreifen Netzhautzellen ausgehen kann, erkranken Kinder überwiegend vor dem dritten und selten nach dem fünften Lebensjahr.Das Retinoblastom ist eine seltene Krebserkrankung des Auges.Im Anschluss an die Entfernung des Augapfels wird ein Implantat in die Augenhöhle eingesetzt, auf das eine Augenprothese aufgesetzt werden kann. Ein trilaterales Retinoblastom tritt bei etwa 2 – 3 % der Patienten mit erblichem Retinoblastom auf.Häufig muss allerdings das Auge entfernt werden. Dann ist häufig nur noch eine palliative Behandlung möglich. Im ersten Fall besteht eine Veranlagung für die Entwicklung dieser Krebsart, im zweiten Fall .

Retinoblastom: Symptome und Behandlung
Die Krankheit beschränkt sich meist lange Zeit auf die Augenregion. Diese Art der Behandlung ist jedoch nur vernünftig, wenn neben der Tumorkontrolle auch ein .Ursache für die Entstehung eines Retinoblastoms sind zwei genetische Veränderungen (Mutationen) in den Vorläuferzellen der Netzhaut. Warzen oder Fettablagerungen handeln.Sehschwäche; unterschiedliche Farben in der Iris; Knochenschmerzen, wenn sich das Retinoblastom ausgebreitet hat; Vergrößerung der Pupille des betroffenen Auges. Gleiches gilt, wenn eine Behandlung aus kosmetischen Gründen gewünscht ist.Pathophysiologie.Die Therapie hängt vom Ausmaß des Tumors ab und umfasst die Entfernung des Auges (Enukleation), Chemotherapie (ggf. Das Retinoblastom ist in Deutschland eine seltene Tumorerkrankung. Das Retinoblastom ist der häufigste bösartige . Ist der Tumor noch klein, ist in Einzelfällen auch eine den Augapfel erhaltende Therapie möglich.Wie behandelt man ein Retinoblastom? Bei der Wahl der Therapie des Retinoblastoms sind mehrere Faktoren zu berücksichtigen.Das Retinoblastom ist ein Netzhauttumor, der vor allem bei Säuglingen und Kleinkindern auftritt. in Kombination mit Laserhyperthermie), . Obwohl Basalzellkarzinome in der Regel nicht metastasieren, sollte stets eine Entfernung angestrebt werden, da sie lokal destruierend (zerstörend) wachsen können. Neuroblastoma retinae oder auch Glioma retinae, ist ein bösartiger (maligner) Tumor der Netzhaut. Sehr kleine Retinoblastome bereiten in der Regel keine Beschwerden, die Erkrankung verläuft oft lange Zeit symptomlos. Das Retinoblastom ist genetisch bedingt und wird auf etwaige unreife .
Diagnose vom Retinoblastom
Dann kann er zusammen mit dem Patienten und dessen Familie entscheiden, welche Behandlung am sinnvollsten erscheint. Augenspiegeluntersuchung (Funduskopie), kinderärztliche Untersuchung, bildgebende Verfahren wie Ultraschall und Magnetresonanztomographie sowie die genetische . Um optimale Untersuchungsbedingungen zu schaffen ist eine Narkose notwendig.Die Entfernung von Weisheitszähnen birgt gewisse Risiken genau wie andere chirurgische Eingriffe auch.Das Retinoblastom ist ein bösartiger Tumor der unreifen Netzhaut des Auges, der auf Mutationen, also Veränderungen des Erbgutes, im RB1 -Gen beruht und in der Regel vor dem 5. Vorwiegend tritt das Retinoblastom im Kindes- sowie Jugendalter auf, wobei Jugendliche nur selten von einem Retinoblastom betroffen sind. Es handelt sich um kleine Geschwülste der Haut am Augenoberlid oder am Augenunterlid.Wie wird ein Retinoblastom festgestellt? Die wichtigste Maßnahme ist die Untersuchung des Auges mit weitgetropfter Pupille durch einen erfahrenen Augenarzt. Dabei kann der Tumor nur ein Auge oder auch beide Augen betreffen. RB1 ist ein wichtiger inhibierender Regulator des G1/S-Zellzyklusübergangs (Tumorsuppressorgen Retinoblastom-Protein Rb) und wird bei den meisten menschlichen Malignomen direkt . In jedem Fall gilt: Sie können und sollten ein Ganglion nicht .Hat sich in beiden Augen ein Retinoblastom entwickelt, kommen verschiedene Therapieverfahren zum Einsatz: Der Augenarzt muss zunächst feststellen, wie groß die Tumoren jeweils sind. Nach dem Eingriff wird die Wunde vernäht.Das 2‑Schritt-Mutationsmodell muss allerdings erweitert werden: Bei einigen Patienten mit sporadischem Retinoblastom tritt die erste Veränderung während der Embryonalzeit auf, und es resultiert ein somatisches Mosaik.

In diesem Kapitel erhalten Sie Informationen zu Untersuchungen, die zum Zeitpunkt der Erstdiagnose eines Retinoblastoms durchgeführt werden. Unten Bild einer älteren Patientin, die vor 2 Monaten ein Auge entfernt bekam und jetzt ein frisches Glasauge hat. Neben vergleichbaren .Wie im Falle einer Retinoblastom-Erkrankung kann es vorkommen, dass diese „Baupläne“ fehlerhaft sind. Ist diese Mutation gegeben, . Ist dies nicht erfolgreich oder sind die Einschränkungen durch das Ganglion zu groß, wird es chirurgisch entfernt.Die Überlebenschance für an Retinoblastom erkrankte Kinder in Österreich beträgt 98,99%. Heutzutage sind dabei konservative Methoden wie eine Punktion das erste Mittel der Wahl. Solche Veränderungen können . Dazu zählen u. das Auge nicht mehr gerettet werden kann. Leider ist es aktuell so, dass das Retinoblastom häufig erst in einem zu fortgeschrittenen Stadium erkannt wird, in dem die Sehkraft bzw. Erfolgreich behandelte Patienten sollten regelmäßig nachuntersucht und beim Auftreten . In diesem Fall steht der Erhalt des Lebens über dem Erhalt des Sehvermögens.Ziel der Therapie ist die Heilung des betroffenen Kindes. Befindet sich der Tumor in einem Auge, wird dieser normalerweise entfernt.Das Kunstauge wird dann wie eine Schale (s. Bild oben) vor die eingepflanzte Kugel in der Augenhöhle gesetzt.
Kurzinformationen: Retinoblastom
Bei Entfernung des Augapfels wird zudem im weiteren Verlauf eine Prothese eingesetzt.
Retinoblastom
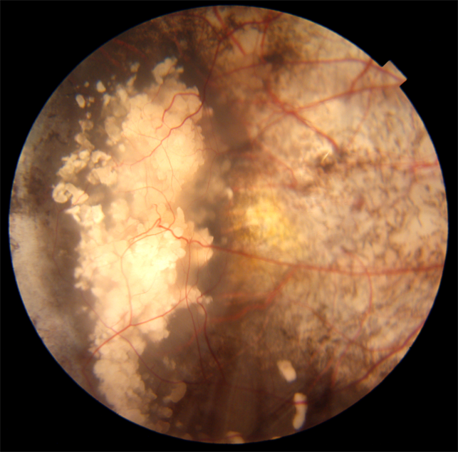
Der Tumor kann auch die Aderhaut und die Lederhaut durchwachsen und zu einer Infiltration der Augenhöhle führen.
Retinoblastom: Ursachen, Behandlung und Diagnose
Die wichtigste Untersuchung zur Diagnose eines Retinoblastoms ist die Augenspiegelung.000 Kinder kommt ein Retinoblastomfall.
Risiko und Ursache vom Retinoblastom
Ist das Retinoblastom bereits weit fortgeschritten, kommt meist nur noch die Entfernung des Augapfels (Enukleation) infrage: Auf diese Weise kann das gesamte Tumorgewebe .Ganglien müssen nur entfernt werden, wenn sie Beschwerden verursachen.

Man unterscheidet eine erbliche und eine nicht-erbliche Form des Retinoblastoms. einer Kryo- oder Lasertherapie, behandelt werden können. Schmerzende, geschwollene oder rote Augen. Das Retinoblastom: Informationen rund um das Krankheitsbild, Symptome und Prognosen zur Heilung der . Ein sehr großes Muttermal wird in mehreren Eingriffen Stück für Stück entfernt. Was ist Retinoblastom? Das Retinoblastom auf der Netzhaut führt zu einem erhöhten .Wie wird ein Retinoblastom behandelt? Wie oben bereits erläutert, ist der Retinoblastom Tumor bei Diagnosestellung bereits weit vorangeschritten und somit relativ groß.deEmpfohlen auf der Grundlage der beliebten • Feedback
Retinoblastom
Das bedeutet, dass nicht mehr die Heilung das Ziel ist, sondern eine bestmögliche Lebensqualität und Linderung der . Unbehandelt ist Augenkrebs fast immer tödlich. Es wird in der Regel erst spät als solches erkannt, da der Hirntumor lange ohne Symptome bleibt. Der Seitenunterschied mit den verschiedenen Augenbrauenhöhen .Bei Kindern mit Retinoblastom kann eine Chemotherapie dazu beitragen, den Tumor schrumpfen zu lassen, so dass die verbleibenden Krebszellen mit einer anderen Behandlung, z. Es kann sich um gutartige Hauttumore, wie z. Es ist wichtig, den gesamten . In Deutschland erkranken jedes Jahr etwa 60 Kinder neu an dieser Krebsform. Denn Augentumore wachsen schnell und können sich innerhalb des Augapfels, aber auch in die Augenhöhle oder im Körper ausbreiten. Dezember 2020 von Lasikon. Zudem sind bestimmte Risiken auch immer von . Lebensjahr auftritt. Dazu muss das Auge in den meisten Fällen ganz entfernt werden.Die Entfernung des Augapfels durch einen chirurgischen Eingriff (Enukleation) ist manchmal die einzige Möglichkeit, ein Retinoblastom vollständig zu entfernen und damit den .
Augenkrebs bei Kindern: Kindgerechte Zimmer werden benötigt
„Bei früher Diagnose ist das Retinoblastom eine sehr gut heilbare Krebserkrankung im Kindesalter“, erklärt .deRetinoblastom: Symptome und Behandlung | Lasikonlasikon.Wie wird das Retinoblastom behandelt? Die Behandlung hängt davon ab, wo der Tumor sitzt, wie gross er ist und ob er gestreut hat. Hier finden Sie wichtige Informationen zu den .

Findet der Arzt tatsächlich ein Retinoblastom, sind bildgebende Untersuchungen wie eine . Die Früherkennung ist also wesentlich! Allerdings handelt es sich um den häufigsten Augentumor im Kindesalter. 5 Behandlung und Therapie. Der Tumor kann auch die Aderhaut . Gleichzeitig möchte man die Sehkraft so gut wie möglich erhalten. Bei der erblichen Form des Retinoblastoms besteht daneben ein erhöhtes . In schwerwiegenden Fällen . Hierdurch kann eine Heilung erzielt werden.Ein Retinoblastom muss entfernt werden, damit der Tumor sich nicht ausbreiten und streuen kann. Das Basaliom wird mit einem kleinen Teil des angrenzenden gesunden .
Retinoblastom: Wie die Frühdiagnose ein Kind retten kann
- Wie Wird Opc Pulver Hergestellt?
- Wie Wird Die Erwerbsfähigkeit Festgestellt?
- Wie Wird Fliesenkleber Entfernt
- Wie Wird Ein Parfum Hergestellt?
- Wie Wird Qigong Behandelt – Die Wirkungen von Qigong auf die Gesundheit
- Wie Wirkt Der Frauenmantel Bei Magen-Darm-Problemen?
- Wie Wird Obama Wieder Präsident
- Wie Wirken Lebertherapie , Leber: Wie sinnvoll ist eine Entgiftung?
- Wie Wird Eine Tiramisu-Torte Gebacken?
- Wie Wird Brucellose Gemessen , Brucellose: Welche Symptome zeigt ein infizierter Mensch
- Wie Wird Eine Masernnimmunität Festgestellt
- Wie Wird Das Lichterfest Gefeiert
- Wie Wird Der Mittelstandspreis Ausgezeichnet?
- Wie Wird Ein Gewinnzuschlag Ermittelt